GABPB1 Polyclonal Antibody

Cat.#: 165086

Special Price 226.5 USD

Availability: In Stock
- +

Add to cart to get an online quotation

Product Information

  • Product Name
    GABPB1 Polyclonal Antibody
  • Documents
  • Description
    Polyclonal antibody to GABPB1
  • Tested applications
    WB, IHC, IF
  • Species reactivity
    Human, Mouse
  • Alternative names
    GABPB1 antibody; BABPB2 antibody; E4TF1 antibody; E4TF1-47 antibody; E4TF1-53 antibody; E4TF1B antibody; GABPB antibody; GABPB-1 antibody; GABPB2 antibody; NRF2B1 antibody; NRF2B2 antibody; GA-binding protein subunit beta-1 antibody
  • Isotype
    Rabbit IgG
  • Preparation
    Antigen: Recombinant fusion protein containing a sequence corresponding to amino acids 231-395 of human GABPB1 (NP_005245.2).
  • Clonality
    Polyclonal
  • Formulation
    PBS with 0.02% sodium azide, 50% glycerol, pH7.3.
  • Storage instructions
    Store at -20℃. Avoid freeze / thaw cycles.
  • Applications
    WB 1:500 - 1:2000
    IHC 1:50 - 1:200
    IF 1:50 - 1:100
  • Validations

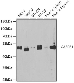
    Western blot - GABPB1 Polyclonal Antibody

    Western blot - GABPB1 Polyclonal Antibody

    Western blot analysis of extracts of various cell lines, using GABPB1 antibody at 1:1000 dilution.Secondary antibody: HRP Goat Anti-Rabbit IgG (H+L) at 1:10000 dilution.Lysates/proteins: 25ug per lane.Blocking buffer: 3% nonfat dry milk in TBST.Detection: ECL Basic Kit .Exposure time: 90s.

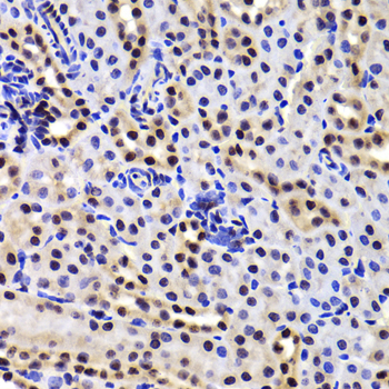
    Immunohistochemistry - GABPB1 Polyclonal Antibody

    Immunohistochemistry - GABPB1 Polyclonal Antibody

    Immunohistochemistry of paraffin-embedded mouse kidney using GABPB1 Antibody at dilution of 1:100 (40x lens).

    Immunohistochemistry - GABPB1 Polyclonal Antibody

    Immunohistochemistry - GABPB1 Polyclonal Antibody

    Immunohistochemistry of paraffin-embedded human stomach using GABPB1 Antibody at dilution of 1:100 (40x lens).

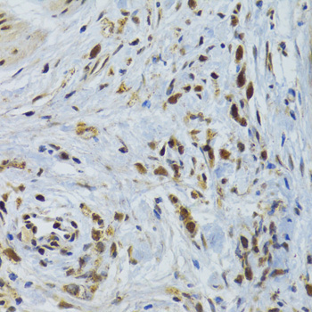
    Immunohistochemistry - GABPB1 Polyclonal Antibody

    Immunohistochemistry - GABPB1 Polyclonal Antibody

    Immunohistochemistry of paraffin-embedded human gastric cancer using GABPB1 Antibody at dilution of 1:100 (40x lens).

    Immunofluorescence - GABPB1 Polyclonal Antibody

    Immunofluorescence - GABPB1 Polyclonal Antibody

    Immunofluorescence analysis of MCF7 cells using GABPB1 antibody .

  • Background
    Transcription factor capable of interacting with purine rich repeats (GA repeats). Necessary for the expression of the Adenovirus E4 gene.

Please note: All products are "FOR RESEARCH USE ONLY AND ARE NOT INTENDED FOR DIAGNOSTIC OR THERAPEUTIC USE"