FZR1 Polyclonal Antibody

Cat.#: 164550

Special Price 226.5 USD

Availability: In Stock
- +

Add to cart to get an online quotation

Product Information

  • Product Name
    FZR1 Polyclonal Antibody
  • Documents
  • Description
    Polyclonal antibody to FZR1
  • Tested applications
    WB, IHC, IF
  • Species reactivity
    Human, Mouse
  • Alternative names
    FZR1 antibody; CDC20C antibody; CDH1 antibody; FZR antibody; FZR2 antibody; HCDH antibody; HCDH1 antibody; fizzy-related protein homolog antibody
  • Isotype
    Rabbit IgG
  • Preparation
    Antigen: Recombinant fusion protein containing a sequence corresponding to amino acids 224-493 of human FZR1 (NP_057347.2).
  • Clonality
    Polyclonal
  • Formulation
    PBS with 0.02% sodium azide, 50% glycerol, pH7.3.
  • Storage instructions
    Store at -20℃. Avoid freeze / thaw cycles.
  • Applications
    WB 1:500 - 1:2000
    IHC 1:50 - 1:200
    IF 1:20 - 1:50
  • Validations

    Western blot - FZR1 Polyclonal Antibody

    Western blot - FZR1 Polyclonal Antibody

    Western blot analysis of extracts of various cell lines, using FZR1 antibody at 1:1000 dilution.Secondary antibody: HRP Goat Anti-Rabbit IgG (H+L) at 1:10000 dilution.Lysates/proteins: 25ug per lane.Blocking buffer: 3% nonfat dry milk in TBST.Detection: ECL Enhanced Kit .

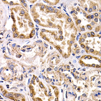
    Immunohistochemistry - FZR1 Polyclonal Antibody

    Immunohistochemistry - FZR1 Polyclonal Antibody

    Immunohistochemistry of paraffin-embedded human kidney cancer using FZR1 antibody at dilution of 1:200 (40x lens).

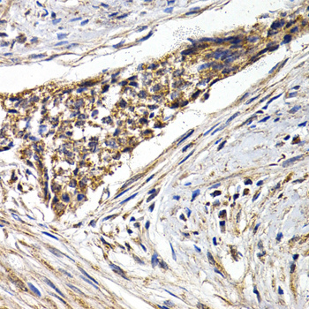
    Immunohistochemistry - FZR1 Polyclonal Antibody

    Immunohistochemistry - FZR1 Polyclonal Antibody

    Immunohistochemistry of paraffin-embedded human esophagus cancer using FZR1 antibody at dilution of 1:200 (40x lens).

    Immunofluorescence - FZR1 Polyclonal Antibody

    Immunofluorescence - FZR1 Polyclonal Antibody

    Immunofluorescence analysis of HeLa cells using FZR1 antibody . Blue: DAPI for nuclear staining.

  • Background
    Substrate-specific adapter for the anaphase promoting complex/cyclosome (APC/C) E3 ubiquitin-protein ligase complex. Associates with the APC/C in late mitosis, in replacement of CDC20, and activates the APC/C during anaphase and telophase. The APC/C remains active in degrading substrates to ensure that positive regulators of the cell cycle do not accumulate prematurely. At the G1/S transition FZR1 is phosphorylated, leading to its dissociation from the APC/C. Following DNA damage, it is required for the G2 DNA damage checkpoint: its dephosphorylation and reassociation with the APC/C leads to the ubiquitination of PLK1, preventing entry into mitosis. Acts as an adapter for APC/C to target the DNA-end resection factor RBBP8/CtIP for ubiquitination and subsequent proteasomal degradation. Through the regulation of RBBP8/CtIP protein turnover, may play a role in DNA damage response, favoring DNA double-strand repair through error-prone non-homologous end joining (NHEJ) over error-free, RBBP8-mediated homologous recombination (HR).

Please note: All products are "FOR RESEARCH USE ONLY AND ARE NOT INTENDED FOR DIAGNOSTIC OR THERAPEUTIC USE"