FURIN Polyclonal Antibody

Cat.#: 165368

Special Price 226.5 USD

Availability: In Stock
- +

Add to cart to get an online quotation

Product Information

  • Product Name
    FURIN Polyclonal Antibody
  • Documents
  • Description
    Polyclonal antibody to FURIN
  • Tested applications
    WB, IHC
  • Species reactivity
    Human, Mouse
  • Alternative names
    FURIN antibody; FUR antibody; PACE antibody; PCSK3 antibody; SPC1 antibody; furin antibody
  • Isotype
    Rabbit IgG
  • Preparation
    Antigen: Recombinant fusion protein containing a sequence corresponding to amino acids 120-370 of human FURIN (NP_002560.1).
  • Clonality
    Polyclonal
  • Formulation
    PBS with 0.02% sodium azide, 50% glycerol, pH7.3.
  • Storage instructions
    Store at -20℃. Avoid freeze / thaw cycles.
  • Applications
    WB 1:500 - 1:2000
    IHC 1:50 - 1:200
  • Validations

    Western blot - FURIN Polyclonal Antibody

    Western blot - FURIN Polyclonal Antibody

    Western blot analysis of extracts of various cell lines, using FURIN antibody at 1:1000 dilution._Secondary antibody: HRP Goat Anti-Rabbit IgG (H+L) at 1:10000 dilution._Lysates/proteins: 25ug per lane._Blocking buffer: 3% nonfat dry milk in TBST._Detection: ECL Enhanced Kit ._Exposure time: 5s.

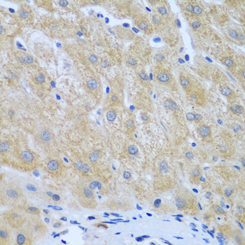
    Immunohistochemistry - FURIN Polyclonal Antibody

    Immunohistochemistry - FURIN Polyclonal Antibody

    Immunohistochemistry of paraffin-embedded human liver cancer using FURIN antibody at dilution of 1:100 (40x lens).

  • Background
    Ubiquitous endoprotease within constitutive secretory pathways capable of cleavage at the RX(K/R)R consensus motif. Mediates processing of TGFB1, an essential step in TGF-beta-1 activation.; (Microbial infection) Probably cleaves and activates anthrax and diphtheria toxins.; (Microbial infection) Required for H7N1 and H5N1 influenza virus infection probably by cleaving hemagglutinin.

Please note: All products are "FOR RESEARCH USE ONLY AND ARE NOT INTENDED FOR DIAGNOSTIC OR THERAPEUTIC USE"