FOXG1 Polyclonal Antibody

Cat.#: 163355

Special Price 226.5 USD

Availability: In Stock
- +

Add to cart to get an online quotation

Product Information

  • Product Name
    FOXG1 Polyclonal Antibody
  • Documents
  • Description
    Polyclonal antibody to FOXG1
  • Tested applications
    WB, IF
  • Species reactivity
    Human, Mouse, Rat
  • Alternative names
    FOXG1 antibody; BF1 antibody; BF2 antibody; FHKL3 antibody; FKH2 antibody; FKHL1 antibody; FKHL2 antibody; FKHL3 antibody; FKHL4 antibody; FOXG1A antibody; FOXG1B antibody; FOXG1C antibody; HBF-1 antibody; HBF-2 antibody; HBF-3 antibody; HBF-G2 antibody; HBF2 antibody; HFK1 antibody; HFK2 antibody; HFK3 antibody; KHL2 antibody; QIN antibody; forkhead box G1 antibody
  • Isotype
    Rabbit IgG
  • Preparation
    Antigen: A synthetic peptide of human FOXG1.
  • Clonality
    Polyclonal
  • Formulation
    PBS with 0.02% sodium azide, 50% glycerol, pH7.3.
  • Storage instructions
    Store at -20℃. Avoid freeze / thaw cycles.
  • Applications
    WB 1:500 - 1:2000
    IF 1:50 - 1:100
  • Validations

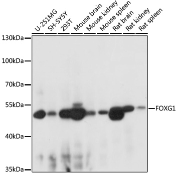
    Western blot - FOXG1 Polyclonal Antibody

    Western blot - FOXG1 Polyclonal Antibody

    Western blot analysis of extracts of various cell lines, using FOXG1 antibody at 1:1000 dilution.Secondary antibody: HRP Goat Anti-Rabbit IgG (H+L) at 1:10000 dilution.Lysates/proteins: 25ug per lane.Blocking buffer: 3% nonfat dry milk in TBST.Detection: ECL Basic Kit .Exposure time: 1s.

  • Background
    Transcription repression factor which plays an important role in the establishment of the regional subdivision of the developing brain and in the development of the telencephalon.

Please note: All products are "FOR RESEARCH USE ONLY AND ARE NOT INTENDED FOR DIAGNOSTIC OR THERAPEUTIC USE"