FKBP1B Polyclonal Antibody

Cat.#: 163169

Special Price 226.5 USD

Availability: In Stock
- +

Add to cart to get an online quotation

Product Information

  • Product Name
    FKBP1B Polyclonal Antibody
  • Documents
  • Description
    Polyclonal antibody to FKBP1B
  • Tested applications
    WB, IHC, IF
  • Species reactivity
    Human, Mouse, Rat
  • Alternative names
    FKBP1B antibody; FKBP12.6 antibody; FKBP1L antibody; OTK4 antibody; PKBP1L antibody; PPIase antibody; FK506 binding protein 1B antibody
  • Isotype
    Rabbit IgG
  • Preparation
    Antigen: A synthetic peptide corresponding to a sequence within amino acids 1-80 of human FKBP1B (NP_473374.1).
  • Clonality
    Polyclonal
  • Formulation
    PBS with 0.02% sodium azide, 50% glycerol, pH7.3.
  • Storage instructions
    Store at -20℃. Avoid freeze / thaw cycles.
  • Applications
    WB 1:500 - 1:2000
    IHC 1:50 - 1:100
    IF 1:50 - 1:100
  • Validations

    Western blot - FKBP1B Polyclonal Antibody

    Western blot - FKBP1B Polyclonal Antibody

    Western blot analysis of extracts of various cell lines, using FKBP1B antibody at 1:1000 dilution.Secondary antibody: HRP Goat Anti-Rabbit IgG (H+L) at 1:10000 dilution.Lysates/proteins: 25ug per lane.Blocking buffer: 3% nonfat dry milk in TBST.Detection: ECL Basic Kit .Exposure time: 10s.

    Immunohistochemistry - FKBP1B Polyclonal Antibody

    Immunohistochemistry - FKBP1B Polyclonal Antibody

    Immunohistochemistry of paraffin-embedded rat heart using FKBP1B antibody at dilution of 1:100 (40x lens).

    Immunohistochemistry - FKBP1B Polyclonal Antibody

    Immunohistochemistry - FKBP1B Polyclonal Antibody

    Immunohistochemistry of paraffin-embedded mouse spinal cord using FKBP1B antibody at dilution of 1:100 (40x lens).

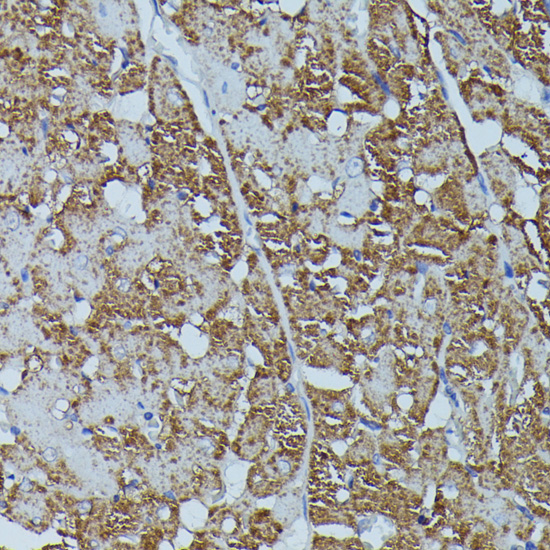
    Immunohistochemistry - FKBP1B Polyclonal Antibody

    Immunohistochemistry - FKBP1B Polyclonal Antibody

    Immunohistochemistry of paraffin-embedded mouse heart using FKBP1B antibody at dilution of 1:100 (40x lens).

  • Background
    Has the potential to contribute to the immunosuppressive and toxic effects of FK506 and rapamycin. PPIases accelerate the folding of proteins. It catalyzes the cis-trans isomerization of proline imidic peptide bonds in oligopeptides.

Please note: All products are "FOR RESEARCH USE ONLY AND ARE NOT INTENDED FOR DIAGNOSTIC OR THERAPEUTIC USE"