FBXL5 Polyclonal Antibody

Cat.#: 164566

Special Price 226.5 USD

Availability: In Stock
- +

Add to cart to get an online quotation

Product Information

  • Product Name
    FBXL5 Polyclonal Antibody
  • Documents
  • Description
    Polyclonal antibody to FBXL5
  • Tested applications
    WB, IHC
  • Species reactivity
    Human, Mouse, Rat
  • Alternative names
    FBXL5 antibody; FBL4 antibody; FBL5 antibody; FLR1 antibody; F-box/LRR-repeat protein 5 antibody
  • Isotype
    Rabbit IgG
  • Preparation
    Antigen: Recombinant fusion protein containing a sequence corresponding to amino acids 1-310 of human FBXL5 (NP_036293.1).
  • Clonality
    Polyclonal
  • Formulation
    PBS with 0.02% sodium azide, 50% glycerol, pH7.3.
  • Storage instructions
    Store at -20℃. Avoid freeze / thaw cycles.
  • Applications
    WB 1:500 - 1:1000
    IHC 1:50 - 1:100
  • Validations

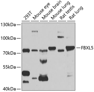
    Western blot - FBXL5 Polyclonal Antibody

    Western blot - FBXL5 Polyclonal Antibody

    Western blot analysis of extracts of various cell lines, using FBXL5 antibody at 1:1000 dilution.Secondary antibody: HRP Goat Anti-Rabbit IgG (H+L) at 1:10000 dilution.Lysates/proteins: 25ug per lane.Blocking buffer: 3% nonfat dry milk in TBST.Detection: ECL Basic Kit .Exposure time: 10s.

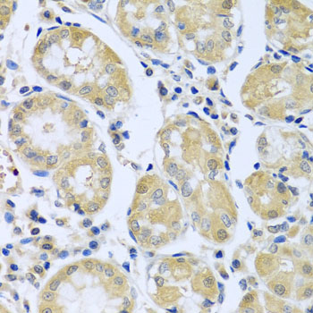
    Immunohistochemistry - FBXL5 Polyclonal Antibody

    Immunohistochemistry - FBXL5 Polyclonal Antibody

    Immunohistochemistry of paraffin-embedded human stomach using FBXL5 antibody at dilution of 1:100 (40x lens).

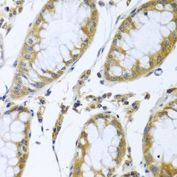
    Immunohistochemistry - FBXL5 Polyclonal Antibody

    Immunohistochemistry - FBXL5 Polyclonal Antibody

    Immunohistochemistry of paraffin-embedded human colon carcinoma using FBXL5 antibody at dilution of 1:100 (40x lens).

  • Background
    Component of some SCF (SKP1-cullin-F-box) protein ligase complex that plays a central role in iron homeostasis by promoting the ubiquitination and subsequent degradation of IREB2/IRP2. Upon high iron and oxygen level, it specifically recognizes and binds IREB2/IRP2, promoting its ubiquitination and degradation by the proteasome. Promotes ubiquitination and subsequent degradation of DCTN1/p150-glued.

Please note: All products are "FOR RESEARCH USE ONLY AND ARE NOT INTENDED FOR DIAGNOSTIC OR THERAPEUTIC USE"