FANCA Polyclonal Antibody

Cat.#: 165483

Special Price 226.5 USD

Availability: In Stock
- +

Add to cart to get an online quotation

Product Information

  • Product Name
    FANCA Polyclonal Antibody
  • Documents
  • Description
    Polyclonal antibody to FANCA
  • Tested applications
    WB, IHC
  • Species reactivity
    Human
  • Alternative names
    FANCA antibody; FA antibody; FA-H antibody; FA1 antibody; FAA antibody; FACA antibody; FAH antibody; FANCH antibody; Fanconi anemia group A protein antibody
  • Isotype
    Rabbit IgG
  • Preparation
    Antigen: Recombinant fusion protein containing a sequence corresponding to amino acids 1-275 of human FANCA (NP_000126.2).
  • Clonality
    Polyclonal
  • Formulation
    PBS with 0.02% sodium azide, 50% glycerol, pH7.3.
  • Storage instructions
    Store at -20℃. Avoid freeze / thaw cycles.
  • Applications
    WB 1:500 - 1:2000
    IHC 1:50 - 1:200
  • Validations

    Western blot - FANCA Polyclonal Antibody

    Western blot - FANCA Polyclonal Antibody

    Western blot analysis of extracts of HeLa cells, using FANCA antibody at 1:1000 dilution.Secondary antibody: HRP Goat Anti-Rabbit IgG (H+L) at 1:10000 dilution.Lysates/proteins: 25ug per lane.Blocking buffer: 3% nonfat dry milk in TBST.Detection: ECL Basic Kit .Exposure time: 30s.

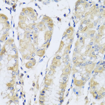
    Immunohistochemistry - FANCA Polyclonal Antibody

    Immunohistochemistry - FANCA Polyclonal Antibody

    Immunohistochemistry of paraffin-embedded human stomach using FANCA antibody at dilution of 1:100 (40x lens).

  • Background
    DNA repair protein that may operate in a postreplication repair or a cell cycle checkpoint function. May be involved in interstrand DNA cross-link repair and in the maintenance of normal chromosome stability.

Please note: All products are "FOR RESEARCH USE ONLY AND ARE NOT INTENDED FOR DIAGNOSTIC OR THERAPEUTIC USE"