FAM3B Polyclonal Antibody

Cat.#: 160628

Special Price 226.5 USD

Availability: In Stock
- +

Add to cart to get an online quotation

Product Information

  • Product Name
    FAM3B Polyclonal Antibody
  • Documents
  • Description
    Polyclonal antibody to FAM3B
  • Tested applications
    IHC, IF
  • Species reactivity
    Human, Mouse, Rat
  • Alternative names
    FAM3B antibody; 2-21 antibody; C21orf11 antibody; C21orf76 antibody; ORF9 antibody; PANDER antibody; PRED44 antibody; protein FAM3B antibody
  • Isotype
    Rabbit IgG
  • Preparation
    Antigen: Recombinant fusion protein containing a sequence corresponding to amino acids 30-235 of human FAM3B (NP_478066.3).
  • Clonality
    Polyclonal
  • Formulation
    PBS with 0.02% sodium azide, 50% glycerol, pH7.3.
  • Storage instructions
    Store at -20℃. Avoid freeze / thaw cycles.
  • Applications
    IHC 1:100 - 1:200
    IF 1:100 - 1:200
  • Validations

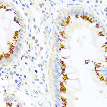
    Immunohistochemistry - FAM3B Polyclonal Antibody

    Immunohistochemistry - FAM3B Polyclonal Antibody

    Immunohistochemistry of paraffin-embedded human colon using FAM3B antibody at dilution of 1:100 (40x lens).

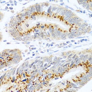
    Immunohistochemistry - FAM3B Polyclonal Antibody

    Immunohistochemistry - FAM3B Polyclonal Antibody

    Immunohistochemistry of paraffin-embedded human colon carcinoma using FAM3B antibody at dilution of 1:100 (40x lens).

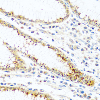
    Immunohistochemistry - FAM3B Polyclonal Antibody

    Immunohistochemistry - FAM3B Polyclonal Antibody

    Immunohistochemistry of paraffin-embedded human stomach using FAM3B antibody at dilution of 1:100 (40x lens).

    Immunofluorescence - FAM3B Polyclonal Antibody

    Immunofluorescence - FAM3B Polyclonal Antibody

    Immunofluorescence analysis of mouse pancreas cells using FAM3B antibody at dilution of 1:100. Blue: DAPI for nuclear staining.

  • Background
    Induces apoptosis of alpha and beta cells in a dose- and time-dependent manner.

Please note: All products are "FOR RESEARCH USE ONLY AND ARE NOT INTENDED FOR DIAGNOSTIC OR THERAPEUTIC USE"