FAF1 Polyclonal Antibody

Cat.#: 165531

Special Price 226.5 USD

Availability: In Stock
- +

Add to cart to get an online quotation

Product Information

  • Product Name
    FAF1 Polyclonal Antibody
  • Documents
  • Description
    Polyclonal antibody to FAF1
  • Tested applications
    WB, IHC, IF
  • Species reactivity
    Human, Mouse, Rat
  • Alternative names
    FAF1 antibody; CGI-03 antibody; HFAF1s antibody; UBXD12 antibody; UBXN3A antibody; hFAF1 antibody; FAS-associated factor 1 antibody
  • Isotype
    Rabbit IgG
  • Preparation
    Antigen: A synthetic peptide of human FAF1
  • Clonality
    Polyclonal
  • Formulation
    PBS with 0.02% sodium azide, 50% glycerol, pH7.3.
  • Storage instructions
    Store at -20℃. Avoid freeze / thaw cycles.
  • Applications
    WB 1:500 - 1:2000
    IHC 1:100 - 1:200
    IF 1:50 - 1:200
  • Validations

    Western blot - FAF1 Polyclonal Antibody

    Western blot - FAF1 Polyclonal Antibody

    Western blot analysis of extracts of various cell lines, using FAF1 antibody at 1:500 dilution.Secondary antibody: HRP Goat Anti-Rabbit IgG (H+L) at 1:10000 dilution.Lysates/proteins: 25ug per lane.Blocking buffer: 3% nonfat dry milk in TBST.Detection: ECL Enhanced Kit .Exposure time: 90s.

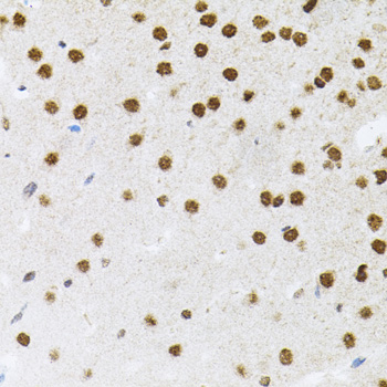
    Immunohistochemistry - FAF1 Polyclonal Antibody

    Immunohistochemistry - FAF1 Polyclonal Antibody

    Immunohistochemistry of paraffin-embedded mouse brain using FAF1 antibody (40x lens).

    Immunohistochemistry - FAF1 Polyclonal Antibody

    Immunohistochemistry - FAF1 Polyclonal Antibody

    Immunohistochemistry of paraffin-embedded rat heart using FAF1 antibody (40x lens).

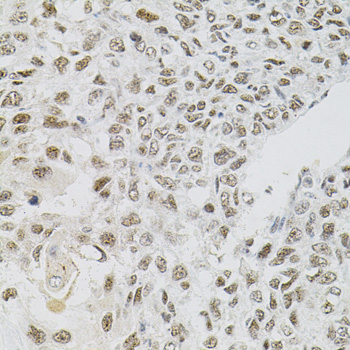
    Immunohistochemistry - FAF1 Polyclonal Antibody

    Immunohistochemistry - FAF1 Polyclonal Antibody

    Immunohistochemistry of paraffin-embedded human lung cancer using FAF1 antibody (40x lens).

  • Background
    Ubiquitin-binding protein. Required for the progression of DNA replication forks by targeting DNA replication licensing factor CDT1 for degradation. Potentiates but cannot initiate FAS-induced apoptosis (By similarity).

Please note: All products are "FOR RESEARCH USE ONLY AND ARE NOT INTENDED FOR DIAGNOSTIC OR THERAPEUTIC USE"