FABP5 antibody

Cat.#: 110441

Size:

Special Price 239.0 USD

Availability: In Stock
- +

Add to cart to get an online quotation

Product Information

  • Product Name
    FABP5 antibody
  • Documents
  • Description
    FABP5 Rabbit Polyclonal antibody. Positive IHC detected in human lung cancer. Positive WB detected in human brain tissue, A375 cells, mouse skin tissue. Observed molecular weight by Western-blot: 15kd
  • Tested applications
    ELISA, WB, IHC
  • Species reactivity
    Human,Mouse,Rat; other species not tested.
  • Alternative names
    FABP5 antibody; PA FABP antibody; EFABP antibody; Fatty acid binding protein 5 antibody; PAFABP antibody
  • Isotype
    Rabbit IgG
  • Preparation
    This antibody was obtained by immunization of FABP5 recombinant protein (Accession Number: NM_001444). Purification method: Antigen affinity purified.
  • Clonality
    Polyclonal
  • Formulation
    PBS with 0.1% sodium azide and 50% glycerol pH 7.3.
  • Storage instructions
    Store at -20℃. DO NOT ALIQUOT
  • Applications

    Recommended Dilution:

    WB: 1:200-1:2000

    IHC: 1:20-1:200

  • Validations

    human brain tissue were subjected to SDS PAGE followed by western blot with Catalog No:110441(FABP5 antibody) at dilution of 1:500

    human brain tissue were subjected to SDS PAGE followed by western blot with Catalog No:110441(FABP5 antibody) at dilution of 1:500

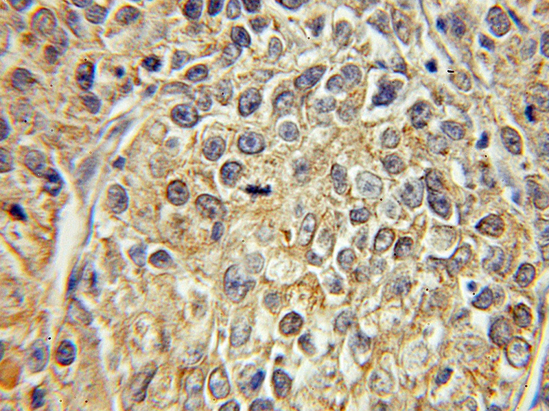
    Immunohistochemical of paraffin-embedded human lung cancer using Catalog No:110441(FABP5 antibody) at dilution of 1:50 (under 10x lens)

    Immunohistochemical of paraffin-embedded human lung cancer using Catalog No:110441(FABP5 antibody) at dilution of 1:50 (under 10x lens)

  • Background
    FABP5, also named as PA-FABP and E-FABP, belongs to the calycin superfamily and Fatty-acid binding protein (FABP) family. It is high specificity for fatty acids. FABP5 is highest affinity for C18 chain length. It may be involved in keratinocyte differentiation. FABP5 is a fatty acid-binding protein and is expressed in epidermis and endothelial cells of the microvasculature of different organs. FABP5 has also been identified as a tumor-associated antigen, which is highly expressed in various cancers. FABP5 was detected in the sera of HNSCC patients with early stage cancer. Antibodies specific for FABP5 were significantly increased in a substantial amount in patients, suggesting that FABP5 may be a potential diagnostic biomarker for HNSCC. FABP5 may serve as a biomarker for HNSCC.(PMID:19602232)
  • References
    • Chen NN, Li Y, Wu ML. CRABP-II- and FABP5-independent all-trans retinoic acid resistance in COLO 16 human cutaneous squamous cancer cells. Experimental dermatology. 21(1):13-8. 2012.
    • Dallaglio K, Marconi A, Truzzi F. E-FABP induces differentiation in normal human keratinocytes and modulates the differentiation process in psoriatic keratinocytes in vitro. Experimental dermatology. 22(4):255-61. 2013.
    • Gericke J, Ittensohn J, Mihály J, Dubrac S, Rühl R. Allergen-induced dermatitis causes alterations in cutaneous retinoid-mediated signaling in mice. PloS one. 8(8):e71244. 2013.
    • Xia SL, Wu ML, Li H. CRABP-II- and FABP5-independent responsiveness of human glioblastoma cells to all-trans retinoic acid. Oncotarget. 6(8):5889-902. 2015.
    • Han J, Kioi M, Chu WS, Kasperbauer JL, Strome SE, Puri RK. Identification of potential therapeutic targets in human head & neck squamous cell carcinoma. Head & neck oncology. 1:27. 2009.

Please note: All products are "FOR RESEARCH USE ONLY AND ARE NOT INTENDED FOR DIAGNOSTIC OR THERAPEUTIC USE"