FABP4 antibody

Cat.#: 110440

Size:

Special Price 239.0 USD

Availability: In Stock
- +

Add to cart to get an online quotation

Product Information

  • Product Name
    FABP4 antibody
  • Documents
  • Description
    FABP4 Rabbit Polyclonal antibody. Positive WB detected in human heart tissue, mouse testis tissue. Positive IHC detected in human breast cancer tissue, human gliomas tissue, human heart tissue, human ovary tumor tissue. Observed molecular weight by Western-blot: 15kd
  • Tested applications
    ELISA, WB, IHC
  • Species reactivity
    Human,Mouse,Rat; other species not tested.
  • Alternative names
    A FABP antibody; AFABP antibody; ALBP antibody; aP2 antibody; FABP4 antibody; Fatty acid binding protein 4 antibody
  • Isotype
    Rabbit IgG
  • Preparation
    This antibody was obtained by immunization of FABP4 recombinant protein (Accession Number: NM_001442). Purification method: Antigen affinity purified.
  • Clonality
    Polyclonal
  • Formulation
    PBS with 0.02% sodium azide and 50% glycerol pH 7.3.
  • Storage instructions
    Store at -20℃. DO NOT ALIQUOT
  • Applications

    Recommended Dilution:

    WB: 1:500-1:5000

    IHC: 1:20-1:200

  • Validations

    human heart tissue were subjected to SDS PAGE followed by western blot with Catalog No:110440(FABP4 antibody) at dilution of 1:300

    human heart tissue were subjected to SDS PAGE followed by western blot with Catalog No:110440(FABP4 antibody) at dilution of 1:300

    Immunohistochemical of paraffin-embedded human gliomas using Catalog No:110440(FABP4 antibody) at dilution of 1:50 (under 10x lens)

    Immunohistochemical of paraffin-embedded human gliomas using Catalog No:110440(FABP4 antibody) at dilution of 1:50 (under 10x lens)

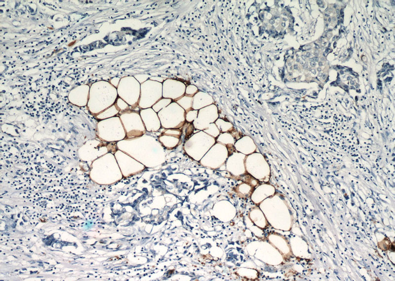
    Immunohistochemical of paraffin-embedded human breast cancer using Catalog No:110440(FABP4 antibody) at dilution of 1:50 (under 10x lens)

    Immunohistochemical of paraffin-embedded human breast cancer using Catalog No:110440(FABP4 antibody) at dilution of 1:50 (under 10x lens)

    Immunohistochemical of paraffin-embedded human breast cancer using Catalog No:110440(FABP4 antibody) at dilution of 1:50 (under 40x lens)

    Immunohistochemical of paraffin-embedded human breast cancer using Catalog No:110440(FABP4 antibody) at dilution of 1:50 (under 40x lens)

  • Background
    Fatty acid binding protein (FABP) 4 is a member of the FABP family which abundantly expressed, fatty acid carrier proteins. FABPs are capable of binding a variety of hydrophobic molecules such as long-chain fatty acids and are important for their uptake and intracellular trafficking. It was first identified as an adipocyte-specific protein, important for the maintenance of lipid and glucose metabolism. It is also detected in macrophages, where it participates in regulating inflammation and cholesterol trafficking via NFκB and PPAR. In more recent studies, FABP4 has been found in a variety of endothelial cells, where it has been identified as a target of VEGF and a regulator of cell proliferation and possibly angiogenesis. Pathologically, FABP4 has been associated with the development of metabolic syndrome, diabetes and cancer and vulnerability of atherosclerotic plaques. FABP4 has been identified as a novel prognostic factor for both adverse cardiovascular events and breast cancer.
  • References
    • Liu L, Aronson J, Lecka-Czernik B. Rosiglitazone disrupts endosteal bone formation during distraction osteogenesis by local adipocytic infiltration. Bone. 52(1):247-58. 2013.
    • Wang J, Guan X, Guo F. miR-30e reciprocally regulates the differentiation of adipocytes and osteoblasts by directly targeting low-density lipoprotein receptor-related protein 6. Cell death & disease. 4:e845. 2013.
    • Guan X, Gao Y, Zhou J. miR-223 Regulates Adipogenic and Osteogenic Differentiation of Mesenchymal Stem Cells Through a C/EBPs/miR-223/FGFR2 Regulatory Feedback Loop. Stem cells (Dayton, Ohio). 33(5):1589-600. 2015.
    • Han Y, Wang L, Yao QP. Nuclear envelope proteins Nesprin2 and LaminA regulate proliferation and apoptosis of vascular endothelial cells in response to shear stress. Biochimica et biophysica acta. 1853(5):1165-73. 2015.
    • Ying Q, Ansong E, Diamond AM, Lu Z, Yang W, Bie X. Quantitative proteomic analysis reveals that anti-cancer effects of selenium-binding protein 1 in vivo are associated with metabolic pathways. PloS one. 10(5):e0126285. 2015.
    • Chen K, He H, Xie Y. miR-125a-3p and miR-483-5p promote adipogenesis via suppressing the RhoA/ROCK1/ERK1/2 pathway in multiple symmetric lipomatosis. Scientific reports. 5:11909. 2015.
    • Zhang X, Chang A, Li Y. miR-140-5p regulates adipocyte differentiation by targeting transforming growth factor-β signaling. Scientific reports. 5:18118. 2015.

Please note: All products are "FOR RESEARCH USE ONLY AND ARE NOT INTENDED FOR DIAGNOSTIC OR THERAPEUTIC USE"