EYA3 Polyclonal Antibody

Cat.#: 165595

Special Price 226.5 USD

Availability: In Stock
- +

Add to cart to get an online quotation

Product Information

  • Product Name
    EYA3 Polyclonal Antibody
  • Documents
  • Description
    Polyclonal antibody to EYA3
  • Tested applications
    WB, IHC
  • Species reactivity
    Human, Mouse, Rat
  • Alternative names
    EYA3 antibody; eyes absent homolog 3 antibody
  • Isotype
    Rabbit IgG
  • Preparation
    Antigen: Recombinant fusion protein containing a sequence corresponding to amino acids 1-300 of human EYA3 (NP_001981.2).
  • Clonality
    Polyclonal
  • Formulation
    PBS with 0.02% sodium azide, 50% glycerol, pH7.3.
  • Storage instructions
    Store at -20℃. Avoid freeze / thaw cycles.
  • Applications
    WB 1:500 - 1:2000
    IHC 1:50 - 1:200
  • Validations

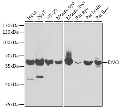
    Western blot - EYA3 Polyclonal Antibody

    Western blot - EYA3 Polyclonal Antibody

    Western blot analysis of extracts of various cell lines, using EYA3 antibody at 1:1000 dilution.Secondary antibody: HRP Goat Anti-Rabbit IgG (H+L) at 1:10000 dilution.Lysates/proteins: 25ug per lane.Blocking buffer: 3% nonfat dry milk in TBST.Detection: ECL Basic Kit .Exposure time: 30s.

    Immunohistochemistry - EYA3 Polyclonal Antibody

    Immunohistochemistry - EYA3 Polyclonal Antibody

    Immunohistochemistry of paraffin-embedded rat kidney using EYA3 antibody at dilution of 1:100 (40x lens).

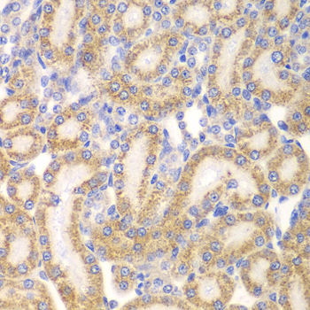
    Immunohistochemistry - EYA3 Polyclonal Antibody

    Immunohistochemistry - EYA3 Polyclonal Antibody

    Immunohistochemistry of paraffin-embedded human kidney using EYA3 antibody at dilution of 1:100 (40x lens).

    Immunohistochemistry - EYA3 Polyclonal Antibody

    Immunohistochemistry - EYA3 Polyclonal Antibody

    Immunohistochemistry of paraffin-embedded human gastric using EYA3 antibody at dilution of 1:100 (40x lens).

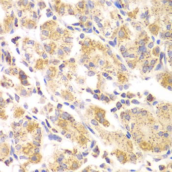
    Immunohistochemistry - EYA3 Polyclonal Antibody

    Immunohistochemistry - EYA3 Polyclonal Antibody

    Immunohistochemistry of paraffin-embedded mouse liver using EYA3 antibody at dilution of 1:100 (40x lens).

  • Background
    Tyrosine phosphatase that specifically dephosphorylates 'Tyr-142' of histone H2AX (H2AXY142ph). 'Tyr-142' phosphorylation of histone H2AX plays a central role in DNA repair and acts as a mark that distinguishes between apoptotic and repair responses to genotoxic stress. Promotes efficient DNA repair by dephosphorylating H2AX, promoting the recruitment of DNA repair complexes containing MDC1. Its function as histone phosphatase probably explains its role in transcription regulation during organogenesis. Coactivates SIX1, and seems to coactivate SIX2, SIX4 and SIX5. The repression of precursor cell proliferation in myoblasts by SIX1 is switched to activation through recruitment of EYA3 to the SIX1-DACH1 complex and seems to be dependent on EYA3 phosphatase activity (By similarity). May be involved in development of the eye.

Please note: All products are "FOR RESEARCH USE ONLY AND ARE NOT INTENDED FOR DIAGNOSTIC OR THERAPEUTIC USE"