EXOC2 Polyclonal Antibody

Cat.#: 165758

Special Price 226.5 USD

Availability: In Stock
- +

Add to cart to get an online quotation

Product Information

  • Product Name
    EXOC2 Polyclonal Antibody
  • Documents
  • Description
    Polyclonal antibody to EXOC2
  • Tested applications
    WB, IF
  • Species reactivity
    Human, Mouse, Rat
  • Alternative names
    EXOC2 antibody; SEC5 antibody; SEC5L1 antibody; Sec5p antibody; exocyst complex component 2 antibody
  • Isotype
    Rabbit IgG
  • Preparation
    Antigen: Recombinant fusion protein containing a sequence corresponding to amino acids 1-220 of human EXOC2 (NP_060773.3).
  • Clonality
    Polyclonal
  • Formulation
    PBS with 0.02% sodium azide, 50% glycerol, pH7.3.
  • Storage instructions
    Store at -20℃. Avoid freeze / thaw cycles.
  • Applications
    WB 1:500 - 1:2000
    IF 1:50 - 1:200
  • Validations

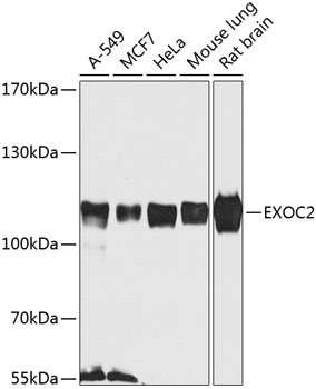
    Western blot - EXOC2 Polyclonal Antibody

    Western blot - EXOC2 Polyclonal Antibody

    Western blot analysis of extracts of various cell lines, using EXOC2 antibody at 1:1000 dilution.Secondary antibody: HRP Goat Anti-Rabbit IgG (H+L) at 1:10000 dilution.Lysates/proteins: 25ug per lane.Blocking buffer: 3% nonfat dry milk in TBST.Detection: ECL Basic Kit .Exposure time: 30s.

    Immunofluorescence - EXOC2 Polyclonal Antibody

    Immunofluorescence - EXOC2 Polyclonal Antibody

    Immunofluorescence analysis of U2OS cells using EXOC2 antibody at dilution of 1:100. Blue: DAPI for nuclear staining.

  • Background
    Component of the exocyst complex involved in the docking of exocytic vesicles with fusion sites on the plasma membrane.

Please note: All products are "FOR RESEARCH USE ONLY AND ARE NOT INTENDED FOR DIAGNOSTIC OR THERAPEUTIC USE"