ETF1 antibody

Cat.#: 110482

Size:

Special Price 239.0 USD

Availability: In Stock
- +

Add to cart to get an online quotation

Product Information

  • Product Name
    ETF1 antibody
  • Documents
  • Description
    ETF1 Rabbit Polyclonal antibody. Positive WB detected in HEK-293 cells, mouse kidney tissue, mouse testis tissue. Positive IF detected in Hela cells. Positive IHC detected in human pancreas cancer tissue, human testis tissue. Observed molecular weight by Western-blot: 45-48kd
  • Tested applications
    ELISA, WB, IHC, IF
  • Species reactivity
    Human, Mouse; other species not tested.
  • Alternative names
    D5S1995 antibody; ERF antibody; ERF1 antibody; ETF1 antibody; Eukaryotic release factor 1 antibody; Protein Cl1 antibody; RF1 antibody; SUP45L1 antibody; TB3 1 antibody
  • Isotype
    Rabbit IgG
  • Preparation
    This antibody was obtained by immunization of ETF1 recombinant protein (Accession Number: XM_005271921). Purification method: Antigen affinity purified.
  • Clonality
    Polyclonal
  • Formulation
    PBS with 0.1% sodium azide and 50% glycerol pH 7.3.
  • Storage instructions
    Store at -20℃. DO NOT ALIQUOT
  • Applications

    Recommended Dilution:

    WB: 1:200-1:2000

    IHC: 1:20-1:200

    IF: 1:10-1:100

  • Validations

    HEK-293 cells were subjected to SDS PAGE followed by western blot with Catalog No:110482(ETF1 antibody) at dilution of 1:800

    HEK-293 cells were subjected to SDS PAGE followed by western blot with Catalog No:110482(ETF1 antibody) at dilution of 1:800

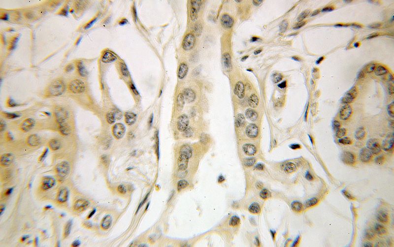
    Immunohistochemical of paraffin-embedded human pancreas cancer using Catalog No:110482(ETF1 antibody) at dilution of 1:100 (under 40x lens)

    Immunohistochemical of paraffin-embedded human pancreas cancer using Catalog No:110482(ETF1 antibody) at dilution of 1:100 (under 40x lens)

    Immunofluorescent analysis of Hela cells, using ETF1 antibody Catalog No:110482 at 1:25 dilution and Rhodamine-labeled goat anti-rabbit IgG (red).

    Immunofluorescent analysis of Hela cells, using ETF1 antibody Catalog No:110482 at 1:25 dilution and Rhodamine-labeled goat anti-rabbit IgG (red).

  • Background
    Termination of protein biosynthesis and release of the nascent polypeptide chain are signaled by the presence of an in-frame stop codon at the aminoacyl site of the ribosome, which is mediated by protein release factors (RFs) and GTP. A class 1 RF recognizes the stop codon and promotes the hydrolysis of the ester bond linking the polypeptide chain with the peptidyl site tRNA, a reaction catalyzed at the peptidyl transferase center of the ribosome. Class 2 RFs, which are not codon specific and do not recognize codons, stimulate class 1 RF activity and confer GTP dependency upon the process. In eukaryotes a single class-1 translation termination factor eRF1 decodes the three stop codons: UAA, UAG and UGA. [PMID:7990965,20860996]

Please note: All products are "FOR RESEARCH USE ONLY AND ARE NOT INTENDED FOR DIAGNOSTIC OR THERAPEUTIC USE"