Estrogen Receptor beta Polyclonal Antibody

Cat.#: 163824

Special Price 226.5 USD

Availability: In Stock
- +

Add to cart to get an online quotation

Product Information

  • Product Name
    Estrogen Receptor beta Polyclonal Antibody
  • Documents
  • Description
    Polyclonal antibody to Estrogen Receptor beta
  • Tested applications
    WB, IHC
  • Species reactivity
    Human, Mouse, Rat
  • Alternative names
    ESR2 antibody; ER-BETA antibody; ESR-BETA antibody; ESRB antibody; ESTRB antibody; Erb antibody; NR3A2 antibody; estrogen receptor 2 antibody
  • Isotype
    Rabbit IgG
  • Preparation
    Antigen: Recombinant fusion protein containing a sequence corresponding to amino acids 1-280 of human Estrogen Receptor beta (NP_001201832.1).
  • Clonality
    Polyclonal
  • Formulation
    PBS with 0.02% sodium azide, 50% glycerol, pH7.3.
  • Storage instructions
    Store at -20℃. Avoid freeze / thaw cycles.
  • Applications
    WB 1:500 - 1:2000
    IHC 1:50 - 1:200
  • Validations

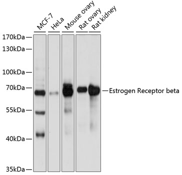
    Western blot - Estrogen Receptor beta Polyclonal Antibody

    Western blot - Estrogen Receptor beta Polyclonal Antibody

    Western blot analysis of extracts of various cell lines, using Estrogen Receptor beta antibody at 1:500 dilution.Secondary antibody: HRP Goat Anti-Rabbit IgG (H+L) at 1:10000 dilution.Lysates/proteins: 25ug per lane.Blocking buffer: 3% nonfat dry milk in TBST.Detection: ECL Basic Kit .Exposure time: 5s.

    Immunohistochemistry - Estrogen Receptor beta Polyclonal Antibody

    Immunohistochemistry - Estrogen Receptor beta Polyclonal Antibody

    Immunohistochemistry of paraffin-embedded mouse lung using Estrogen Receptor beta antibody at dilution of 1:200 (40x lens).

  • Background
    Nuclear hormone receptor. Binds estrogens with an affinity similar to that of ESR1, and activates expression of reporter genes containing estrogen response elements (ERE) in an estrogen-dependent manner. Isoform beta-cx lacks ligand binding ability and has no or only very low ere binding activity resulting in the loss of ligand-dependent transactivation ability. DNA-binding by ESR1 and ESR2 is rapidly lost at 37 degrees Celsius in the absence of ligand while in the presence of 17 beta-estradiol and 4-hydroxy-tamoxifen loss in DNA-binding at elevated temperature is more gradual.

Please note: All products are "FOR RESEARCH USE ONLY AND ARE NOT INTENDED FOR DIAGNOSTIC OR THERAPEUTIC USE"