ERO1LB antibody

Cat.#: 110370

Size:

Special Price 239.0 USD

Availability: In Stock
- +

Add to cart to get an online quotation

Product Information

  • Product Name
    ERO1LB antibody
  • Documents
  • Description
    ERO1LB Rabbit Polyclonal antibody. Positive WB detected in human brain tissue, mouse brain tissue, rat brain tissue. Positive IHC detected in human pancreas tissue. Observed molecular weight by Western-blot: 54kd
  • Tested applications
    ELISA, WB, IHC
  • Species reactivity
    Human, Mouse, Rat; other species not tested.
  • Alternative names
    ERO1 L beta antibody; ERO1 like beta (S. cerevisiae) antibody; ERO1 like protein beta antibody; ERO1LB antibody; Oxidoreductin 1 L beta antibody
  • Isotype
    Rabbit IgG
  • Preparation
    This antibody was obtained by immunization of Peptide (Accession Number: NM_019891). Purification method: Antigen affinity purified.
  • Clonality
    Polyclonal
  • Formulation
    PBS with 0.02% sodium azide and 50% glycerol pH 7.3.
  • Storage instructions
    Store at -20℃. DO NOT ALIQUOT
  • Applications

    Recommended Dilution:

    WB: 1:500-1:5000

    IHC: 1:20-1:200

  • Validations

    human brain tissue were subjected to SDS PAGE followed by western blot with Catalog No:110370(ERO1LB antibody) at dilution of 1:300

    human brain tissue were subjected to SDS PAGE followed by western blot with Catalog No:110370(ERO1LB antibody) at dilution of 1:300

    Immunohistochemical of paraffin-embedded human pancreas using Catalog No:110370(ERO1LB antibody) at dilution of 1:100 (under 10x lens)

    Immunohistochemical of paraffin-embedded human pancreas using Catalog No:110370(ERO1LB antibody) at dilution of 1:100 (under 10x lens)

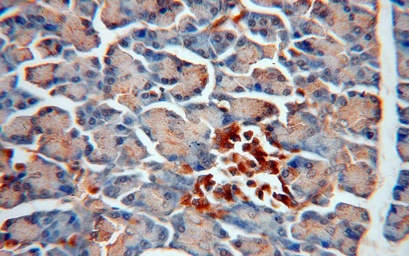
    Immunohistochemical of paraffin-embedded human pancreas using Catalog No:110370(ERO1LB antibody) at dilution of 1:100 (under 40x lens)

    Immunohistochemical of paraffin-embedded human pancreas using Catalog No:110370(ERO1LB antibody) at dilution of 1:100 (under 40x lens)

  • Background
    ERO1LB is an essential oxidoreductase that oxidizes proteins in the endoplasmic reticulum to produce disulfide bonds. It acts by oxidizing directly P4HB/PDI isomerase through a direct disulfide exchange. It does not act as a direct oxidant of folding substrate, but relies on P4HB/PDI to transfer oxidizing equivalent. Associates with ERP44 but not with GRP54, demonstrating that it does not oxidize all PDI related proteins and can discriminate between PDI and related proteins. Its reoxidation probably involves electron transfer to molecular oxygen via FAD. Glutathione may be required to regulate its activity in the endoplasmic reticulum. It may be responsible for a significant proportion of reactive oxygen species (ROS) in the being a source of oxidative stress. It is required for the folding of cell, thereby being a source of oxidative stress. This antibody has no cross reaction to ERO1L.

Please note: All products are "FOR RESEARCH USE ONLY AND ARE NOT INTENDED FOR DIAGNOSTIC OR THERAPEUTIC USE"