EPS15 Polyclonal Antibody

Cat.#: 166168

Special Price 226.5 USD

Availability: In Stock
- +

Add to cart to get an online quotation

Product Information

  • Product Name
    EPS15 Polyclonal Antibody
  • Documents
  • Description
    Polyclonal antibody to EPS15
  • Tested applications
    WB
  • Species reactivity
    Human, Mouse
  • Alternative names
    EPS15 antibody; AF-1P antibody; AF1P antibody; MLLT5 antibody; epidermal growth factor receptor substrate 15 antibody
  • Isotype
    Rabbit IgG
  • Preparation
    Antigen: Recombinant fusion protein containing a sequence corresponding to amino acids 660-840 of human EPS15 (NP_001972.1).
  • Clonality
    Polyclonal
  • Formulation
    PBS with 0.02% sodium azide, 50% glycerol, pH7.3.
  • Storage instructions
    Store at -20℃. Avoid freeze / thaw cycles.
  • Applications
    WB 1:500 - 1:2000
  • Validations

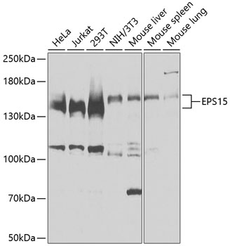
    Western blot - EPS15 Polyclonal Antibody

    Western blot - EPS15 Polyclonal Antibody

    Western blot analysis of extracts of various cell lines, using EPS15 antibody at 1:3000 dilution.Secondary antibody: HRP Goat Anti-Rabbit IgG (H+L) at 1:10000 dilution.Lysates/proteins: 25ug per lane.Blocking buffer: 3% nonfat dry milk in TBST.Detection: ECL Basic Kit .Exposure time: 15s.

  • Background
    Involved in cell growth regulation. May be involved in the regulation of mitogenic signals and control of cell proliferation. Involved in the internalization of ligand-inducible receptors of the receptor tyrosine kinase (RTK) type, in particular EGFR. Plays a role in the assembly of clathrin-coated pits (CCPs). Acts as a clathrin adapter required for post-Golgi trafficking. Seems to be involved in CCPs maturation including invagination or budding. Involved in endocytosis of integrin beta-1 (ITGB1) and transferrin receptor (TFR); internalization of ITGB1 as DAB2-dependent cargo but not TFR seems to require association with DAB2.

Please note: All products are "FOR RESEARCH USE ONLY AND ARE NOT INTENDED FOR DIAGNOSTIC OR THERAPEUTIC USE"