EPHA3 Polyclonal Antibody

Cat.#: 165855

Special Price 226.5 USD

Availability: In Stock
- +

Add to cart to get an online quotation

Product Information

  • Product Name
    EPHA3 Polyclonal Antibody
  • Documents
  • Description
    Polyclonal antibody to EPHA3
  • Tested applications
    WB, IHC
  • Species reactivity
    Human, Mouse, Rat
  • Alternative names
    EPHA3 antibody; EK4 antibody; ETK antibody; ETK1 antibody; HEK antibody; HEK4 antibody; TYRO4 antibody; EPH receptor A3 antibody
  • Isotype
    Rabbit IgG
  • Preparation
    Antigen: Recombinant fusion protein containing a sequence corresponding to amino acids 400-545 of human EPHA3 (NP_005224.2).
  • Clonality
    Polyclonal
  • Formulation
    PBS with 0.02% sodium azide, 50% glycerol, pH7.3.
  • Storage instructions
    Store at -20℃. Avoid freeze / thaw cycles.
  • Applications
    WB 1:500 - 1:2000
    IHC 1:50 - 1:200
  • Validations

    Western blot - EPHA3 Polyclonal Antibody

    Western blot - EPHA3 Polyclonal Antibody

    Western blot analysis of extracts of various cell lines, using EPHA3 antibody at 1:1000 dilution.Secondary antibody: HRP Goat Anti-Rabbit IgG (H+L) at 1:10000 dilution.Lysates/proteins: 25ug per lane.Blocking buffer: 3% nonfat dry milk in TBST.Detection: ECL Basic Kit .Exposure time: 30s.

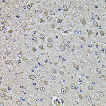
    Immunohistochemistry - EPHA3 Polyclonal Antibody

    Immunohistochemistry - EPHA3 Polyclonal Antibody

    Immunohistochemistry of paraffin-embedded rat brain using EPHA3 antibody at dilution of 1:100 (40x lens).

  • Background
    Receptor tyrosine kinase which binds promiscuously membrane-bound ephrin family ligands residing on adjacent cells, leading to contact-dependent bidirectional signaling into neighboring cells. The signaling pathway downstream of the receptor is referred to as forward signaling while the signaling pathway downstream of the ephrin ligand is referred to as reverse signaling. Highly promiscuous for ephrin-A ligands it binds preferentially EFNA5. Upon activation by EFNA5 regulates cell-cell adhesion, cytoskeletal organization and cell migration. Plays a role in cardiac cells migration and differentiation and regulates the formation of the atrioventricular canal and septum during development probably through activation by EFNA1. Involved in the retinotectal mapping of neurons. May also control the segregation but not the guidance of motor and sensory axons during neuromuscular circuit development.

Please note: All products are "FOR RESEARCH USE ONLY AND ARE NOT INTENDED FOR DIAGNOSTIC OR THERAPEUTIC USE"