EPB41 Polyclonal Antibody

Cat.#: 161077

Special Price 226.5 USD

Availability: In Stock
- +

Add to cart to get an online quotation

Product Information

  • Product Name
    EPB41 Polyclonal Antibody
  • Documents
  • Description
    Polyclonal antibody to EPB41
  • Tested applications
    WB, IHC
  • Species reactivity
    Human, Mouse, Rat
  • Alternative names
    EPB41 antibody; 4.1R antibody; EL1 antibody; HE antibody; protein 4.1 antibody
  • Isotype
    Rabbit IgG
  • Preparation
    Antigen: Recombinant fusion protein containing a sequence corresponding to amino acids 210-500 of human EPB41 (NP_001159478.1).
  • Clonality
    Polyclonal
  • Formulation
    PBS with 0.02% sodium azide, 50% glycerol, pH7.3.
  • Storage instructions
    Store at -20℃. Avoid freeze / thaw cycles.
  • Applications
    WB 1:500 - 1:2000
    IHC 1:50 - 1:200
  • Validations

    Western blot - EPB41 Polyclonal Antibody

    Western blot - EPB41 Polyclonal Antibody

    Western blot analysis of extracts of various cell lines, using EPB41 Antibody at 1:1000 dilution.Secondary antibody: HRP Goat Anti-Rabbit IgG (H+L) at 1:10000 dilution.Lysates/proteins: 25ug per lane.Blocking buffer: 3% nonfat dry milk in TBST.

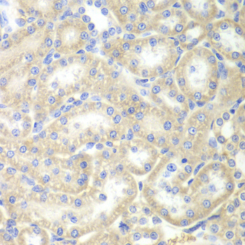
    Immunohistochemistry - EPB41 Polyclonal Antibody

    Immunohistochemistry - EPB41 Polyclonal Antibody

    Immunohistochemistry of paraffin-embedded rat kidney using EPB41 antibody at dilution of 1:200 (40x lens).

    Immunohistochemistry - EPB41 Polyclonal Antibody

    Immunohistochemistry - EPB41 Polyclonal Antibody

    Immunohistochemistry of paraffin-embedded mouse lung using EPB41 antibody at dilution of 1:200 (40x lens).

  • Background
    Protein 4.1 is a major structural element of the erythrocyte membrane skeleton. It plays a key role in regulating membrane physical properties of mechanical stability and deformability by stabilizing spectrin-actin interaction. Recruits DLG1 to membranes. Required for dynein-dynactin complex and NUMA1 recruitment at the mitotic cell cortex during anaphase.

Please note: All products are "FOR RESEARCH USE ONLY AND ARE NOT INTENDED FOR DIAGNOSTIC OR THERAPEUTIC USE"