Endothelin 1 Polyclonal Antibody

Cat.#: 160131

Special Price 226.5 USD

Availability: In Stock
- +

Add to cart to get an online quotation

Product Information

  • Product Name
    Endothelin 1 Polyclonal Antibody
  • Documents
  • Description
    Polyclonal antibody to Endothelin 1
  • Tested applications
    WB, IHC, IF
  • Species reactivity
    Human, Mouse, Rat
  • Alternative names
    EDN1 antibody; ARCND3 antibody; ET1 antibody; HDLCQ7 antibody; PPET1 antibody; QME antibody; endothelin-1 antibody
  • Isotype
    Rabbit IgG
  • Preparation
    Antigen: Recombinant fusion protein containing a sequence corresponding to amino acids 18-212 of human Endothelin 1 (NP_001946.3).
  • Clonality
    Polyclonal
  • Formulation
    PBS with 0.02% sodium azide, 50% glycerol, pH7.3.
  • Storage instructions
    Store at -20℃. Avoid freeze / thaw cycles.
  • Applications
    WB 1:500 - 1:2000
    IHC 1:50 - 1:100
    IF 1:50 - 1:100
  • Validations

    Western blot - Endothelin 1 Polyclonal Antibody

    Western blot - Endothelin 1 Polyclonal Antibody

    Western blot analysis of extracts of various cell lines, using Endothelin 1 antibody at 1:1000 dilution.Secondary antibody: HRP Goat Anti-Rabbit IgG (H+L) at 1:10000 dilution.Lysates/proteins: 25ug per lane.Blocking buffer: 3% nonfat dry milk in TBST.Detection: ECL Basic Kit .Exposure time: 30s.

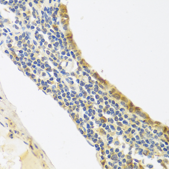
    Immunohistochemistry - Endothelin 1 Polyclonal Antibody

    Immunohistochemistry - Endothelin 1 Polyclonal Antibody

    Immunohistochemistry of paraffin-embedded human lung cancer using Endothelin 1 antibody at dilution of 1:100 (40x lens).

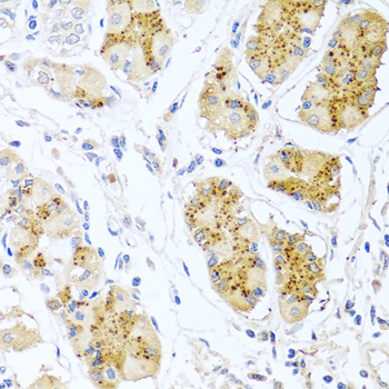
    Immunohistochemistry - Endothelin 1 Polyclonal Antibody

    Immunohistochemistry - Endothelin 1 Polyclonal Antibody

    Immunohistochemistry of paraffin-embedded human stomach using Endothelin 1 antibody at dilution of 1:100 (40x lens).

    Immunofluorescence - Endothelin 1 Polyclonal Antibody

    Immunofluorescence - Endothelin 1 Polyclonal Antibody

    Immunofluorescence analysis of U-2 OS cells using Endothelin 1 antibody at dilution of 1:100. Blue: DAPI for nuclear staining.

  • Background
    Endothelins are endothelium-derived vasoconstrictor peptides.

Please note: All products are "FOR RESEARCH USE ONLY AND ARE NOT INTENDED FOR DIAGNOSTIC OR THERAPEUTIC USE"