ELP3 Polyclonal Antibody

Cat.#: 166208

Special Price 226.5 USD

Availability: In Stock
- +

Add to cart to get an online quotation

Product Information

  • Product Name
    ELP3 Polyclonal Antibody
  • Documents
  • Description
    Polyclonal antibody to ELP3
  • Tested applications
    WB, IHC
  • Species reactivity
    Human, Mouse, Rat
  • Alternative names
    ELP3 antibody; KAT9 antibody; elongator complex protein 3 antibody
  • Isotype
    Rabbit IgG
  • Preparation
    Antigen: Recombinant fusion protein containing a sequence corresponding to amino acids 358-547 of human ELP3 (NP_060561.3).
  • Clonality
    Polyclonal
  • Formulation
    PBS with 0.02% sodium azide, 50% glycerol, pH7.3.
  • Storage instructions
    Store at -20℃. Avoid freeze / thaw cycles.
  • Applications
    WB 1:500 - 1:2000
    IHC 1:50 - 1:200
  • Validations

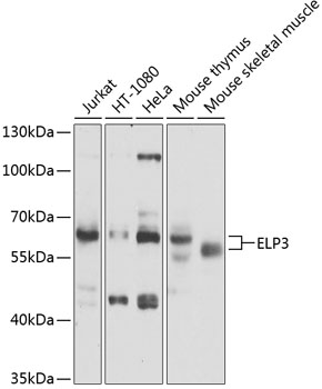
    Western blot - ELP3 Polyclonal Antibody

    Western blot - ELP3 Polyclonal Antibody

    Western blot analysis of extracts of various cell lines, using ELP3 antibody at 1:1000 dilution.Secondary antibody: HRP Goat Anti-Rabbit IgG (H+L) at 1:10000 dilution.Lysates/proteins: 25ug per lane.Blocking buffer: 3% nonfat dry milk in TBST.Detection: ECL Basic Kit .Exposure time: 10s.

    Immunohistochemistry - ELP3 Polyclonal Antibody

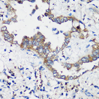
    Immunohistochemistry - ELP3 Polyclonal Antibody

    Immunohistochemistry of paraffin-embedded human lung cancer using ELP3 antibody at dilution of 1:200 (40x lens).

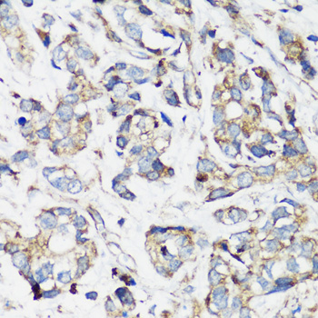
    Immunohistochemistry - ELP3 Polyclonal Antibody

    Immunohistochemistry - ELP3 Polyclonal Antibody

    Immunohistochemistry of paraffin-embedded human liver cancer using ELP3 antibody at dilution of 1:200 (40x lens).

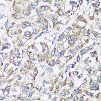
    Immunohistochemistry - ELP3 Polyclonal Antibody

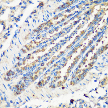
    Immunohistochemistry - ELP3 Polyclonal Antibody

    Immunohistochemistry of paraffin-embedded human colon carcinoma using ELP3 antibody at dilution of 1:200 (40x lens).

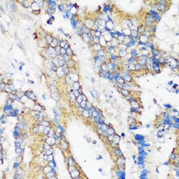
    Immunohistochemistry - ELP3 Polyclonal Antibody

    Immunohistochemistry - ELP3 Polyclonal Antibody

    Immunohistochemistry of paraffin-embedded human breast cancer using ELP3 antibody at dilution of 1:200 (40x lens).

    Immunohistochemistry - ELP3 Polyclonal Antibody

    Immunohistochemistry - ELP3 Polyclonal Antibody

    Immunohistochemistry of paraffin-embedded human gastric cancer using ELP3 antibody at dilution of 1:200 (40x lens).

    Immunohistochemistry - ELP3 Polyclonal Antibody

    Immunohistochemistry - ELP3 Polyclonal Antibody

    Immunohistochemistry of paraffin-embedded mouse lung using ELP3 antibody at dilution of 1:200 (40x lens).

    Immunohistochemistry - ELP3 Polyclonal Antibody

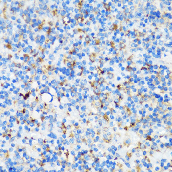
    Immunohistochemistry - ELP3 Polyclonal Antibody

    Immunohistochemistry of paraffin-embedded mouse spleen using ELP3 antibody at dilution of 1:200 (40x lens).

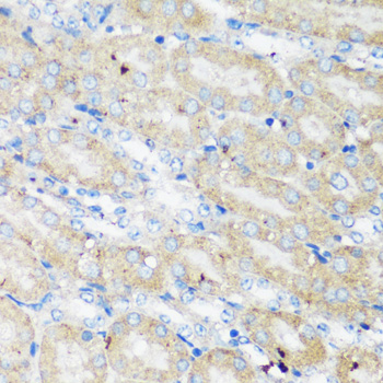
    Immunohistochemistry - ELP3 Polyclonal Antibody

    Immunohistochemistry - ELP3 Polyclonal Antibody

    Immunohistochemistry of paraffin-embedded mouse kidney using ELP3 antibody at dilution of 1:200 (40x lens).

  • Background
    Catalytic histone acetyltransferase subunit of the RNA polymerase II elongator complex, which is a component of the RNA polymerase II (Pol II) holoenzyme and is involved in transcriptional elongation. Elongator may play a role in chromatin remodeling and is involved in acetylation of histones H3 and probably H4. Involved in acetylation of alpha-tubulin. May also have a methyltransferase activity. Involved in cell migration. Involved in neurogenesis. Regulates the migration and branching of projection neurons in the developing cerebral cortex, through a process depending on alpha-tubulin acetylation.

Please note: All products are "FOR RESEARCH USE ONLY AND ARE NOT INTENDED FOR DIAGNOSTIC OR THERAPEUTIC USE"