ELMO3 Polyclonal Antibody

Cat.#: 165234

Special Price 226.5 USD

Availability: In Stock
- +

Add to cart to get an online quotation

Product Information

  • Product Name
    ELMO3 Polyclonal Antibody
  • Documents
  • Description
    Polyclonal antibody to ELMO3
  • Tested applications
    WB, IHC
  • Species reactivity
    Human, Mouse, Rat
  • Alternative names
    ELMO3 antibody; CED-12 antibody; CED12 antibody; ELMO-3 antibody; engulfment and cell motility 3 antibody
  • Isotype
    Rabbit IgG
  • Preparation
    Antigen: Recombinant fusion protein containing a sequence corresponding to amino acids 504-773 of human ELMO3 (NP_078988.2).
  • Clonality
    Polyclonal
  • Formulation
    PBS with 0.02% sodium azide, 50% glycerol, pH7.3.
  • Storage instructions
    Store at -20℃. Avoid freeze / thaw cycles.
  • Applications
    WB 1:500 - 1:2000
    IHC 1:50 - 1:200
  • Validations

    Western blot - ELMO3 Polyclonal Antibody

    Western blot - ELMO3 Polyclonal Antibody

    Western blot analysis of extracts of various cell lines, using ELMO3 antibody at 1:1000 dilution.Secondary antibody: HRP Goat Anti-Rabbit IgG (H+L) at 1:10000 dilution.Lysates/proteins: 25ug per lane.Blocking buffer: 3% nonfat dry milk in TBST.Detection: ECL Enhanced Kit .Exposure time: 30s.

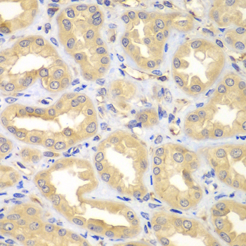
    Immunohistochemistry - ELMO3 Polyclonal Antibody

    Immunohistochemistry - ELMO3 Polyclonal Antibody

    Immunohistochemistry of paraffin-embedded human kidney using ELMO3 antibody at dilution of 1:100 (40x lens).

  • Background
    Involved in cytoskeletal rearrangements required for phagocytosis of apoptotic cells and cell motility. Acts in association with DOCK1 and CRK. Was initially proposed to be required in complex with DOCK1 to activate Rac Rho small GTPases. May enhance the guanine nucleotide exchange factor (GEF) activity of DOCK1 (By similarity).

Please note: All products are "FOR RESEARCH USE ONLY AND ARE NOT INTENDED FOR DIAGNOSTIC OR THERAPEUTIC USE"