EIF3L Polyclonal Antibody

Cat.#: 166268

Special Price 226.5 USD

Availability: In Stock
- +

Add to cart to get an online quotation

Product Information

  • Product Name
    EIF3L Polyclonal Antibody
  • Documents
  • Description
    Polyclonal antibody to EIF3L
  • Tested applications
    WB, IHC
  • Species reactivity
    Human, Mouse
  • Alternative names
    EIF3L antibody; EIF3EIP antibody; EIF3S11 antibody; EIF3S6IP antibody; HSPC021 antibody; HSPC025 antibody; MSTP005 antibody; eukaryotic translation initiation factor 3 subunit L antibody
  • Isotype
    Rabbit IgG
  • Preparation
    Antigen: Recombinant fusion protein containing a sequence corresponding to amino acids 1-230 of human EIF3L (NP_057175.1).
  • Clonality
    Polyclonal
  • Formulation
    PBS with 0.02% sodium azide, 50% glycerol, pH7.3.
  • Storage instructions
    Store at -20℃. Avoid freeze / thaw cycles.
  • Applications
    WB 1:1000 - 1:4000
    IHC 1:50 - 1:200
  • Validations

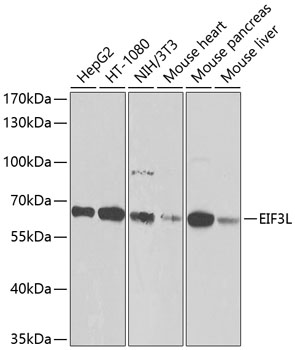
    Western blot - EIF3L Polyclonal Antibody

    Western blot - EIF3L Polyclonal Antibody

    Western blot analysis of extracts of various cell lines, using EIF3L antibody at 1:1000 dilution.Secondary antibody: HRP Goat Anti-Rabbit IgG (H+L) at 1:10000 dilution.Lysates/proteins: 25ug per lane.Blocking buffer: 3% nonfat dry milk in TBST.Detection: ECL Basic Kit .Exposure time: 5s.

    Immunohistochemistry - EIF3L Polyclonal Antibody

    Immunohistochemistry - EIF3L Polyclonal Antibody

    Immunohistochemistry of paraffin-embedded human liver cancer using EIF3L antibody at dilution of 1:100 (40x lens).

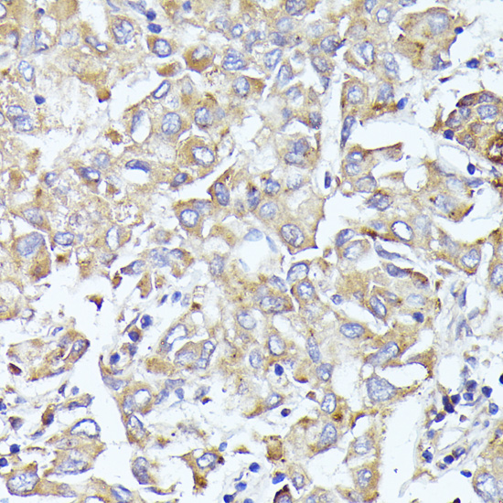
    Immunohistochemistry - EIF3L Polyclonal Antibody

    Immunohistochemistry - EIF3L Polyclonal Antibody

    Immunohistochemistry of paraffin-embedded human mammary cancer using EIF3L antibody at dilution of 1:100 (40x lens).

  • Background
    Component of the eukaryotic translation initiation factor 3 (eIF-3) complex, which is required for several steps in the initiation of protein synthesis. The eIF-3 complex associates with the 40S ribosome and facilitates the recruitment of eIF-1, eIF-1A, eIF-2:GTP:methionyl-tRNAi and eIF-5 to form the 43S pre-initiation complex (43S PIC). The eIF-3 complex stimulates mRNA recruitment to the 43S PIC and scanning of the mRNA for AUG recognition. The eIF-3 complex is also required for disassembly and recycling of post-termination ribosomal complexes and subsequently prevents premature joining of the 40S and 60S ribosomal subunits prior to initiation. The eIF-3 complex specifically targets and initiates translation of a subset of mRNAs involved in cell proliferation, including cell cycling, differentiation and apoptosis, and uses different modes of RNA stem-loop binding to exert either translational activation or repression.; (Microbial infection) In case of FCV infection, plays a role in the ribosomal termination-reinitiation event leading to the translation of VP2.

Please note: All products are "FOR RESEARCH USE ONLY AND ARE NOT INTENDED FOR DIAGNOSTIC OR THERAPEUTIC USE"