EIF3A Polyclonal Antibody

Cat.#: 160108

Special Price 226.5 USD

Availability: In Stock
- +

Add to cart to get an online quotation

Product Information

  • Product Name
    EIF3A Polyclonal Antibody
  • Documents
  • Description
    Polyclonal antibody to EIF3A
  • Tested applications
    WB, IHC, IF
  • Species reactivity
    Human, Mouse, Rat
  • Alternative names
    EIF3A antibody; EIF3 antibody; EIF3S10 antibody; P167 antibody; TIF32 antibody; eIF3-p170 antibody; eIF3-theta antibody; p180 antibody; p185 antibody; eukaryotic translation initiation factor 3 subunit A antibody
  • Isotype
    Rabbit IgG
  • Preparation
    Antigen: Recombinant fusion protein containing a sequence corresponding to amino acids 1-250 of human EIF3A (NP_003741.1).
  • Clonality
    Polyclonal
  • Formulation
    PBS with 0.02% sodium azide, 50% glycerol, pH7.3.
  • Storage instructions
    Store at -20℃. Avoid freeze / thaw cycles.
  • Applications
    WB 1:500 - 1:1000
    IHC 1:50 - 1:100
    IF 1:50 - 1:100
  • Validations

    Western blot - EIF3A Polyclonal Antibody

    Western blot - EIF3A Polyclonal Antibody

    Western blot analysis of extracts of various cell lines, using EIF3A antibody at 1:1000 dilution.Secondary antibody: HRP Goat Anti-Rabbit IgG (H+L) at 1:10000 dilution.Lysates/proteins: 25ug per lane.Blocking buffer: 3% nonfat dry milk in TBST.Detection: ECL Basic Kit .Exposure time: 30s.

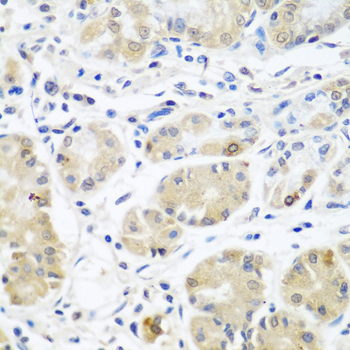
    Immunohistochemistry - EIF3A Polyclonal Antibody

    Immunohistochemistry - EIF3A Polyclonal Antibody

    Immunohistochemistry of paraffin-embedded human stomach using EIF3A antibody at dilution of 1:100 (40x lens).

    Immunofluorescence - EIF3A Polyclonal Antibody

    Immunofluorescence - EIF3A Polyclonal Antibody

    Immunofluorescence analysis of U2OS cells using EIF3A antibody at dilution of 1:100. Blue: DAPI for nuclear staining.

  • Background
    RNA-binding component of the eukaryotic translation initiation factor 3 (eIF-3) complex, which is required for several steps in the initiation of protein synthesis. The eIF-3 complex associates with the 40S ribosome and facilitates the recruitment of eIF-1, eIF-1A, eIF-2:GTP:methionyl-tRNAi and eIF-5 to form the 43S pre-initiation complex (43S PIC). The eIF-3 complex stimulates mRNA recruitment to the 43S PIC and scanning of the mRNA for AUG recognition. The eIF-3 complex is also required for disassembly and recycling of post-termination ribosomal complexes and subsequently prevents premature joining of the 40S and 60S ribosomal subunits prior to initiation. The eIF-3 complex specifically targets and initiates translation of a subset of mRNAs involved in cell proliferation, including cell cycling, differentiation and apoptosis, and uses different modes of RNA stem-loop binding to exert either translational activation or repression.; (Microbial infection) Essential for the initiation of translation on type-1 viral ribosomal entry sites (IRESs), like for HCV, PV, EV71 or BEV translation.; (Microbial infection) In case of FCV infection, plays a role in the ribosomal termination-reinitiation event leading to the translation of VP2.

Please note: All products are "FOR RESEARCH USE ONLY AND ARE NOT INTENDED FOR DIAGNOSTIC OR THERAPEUTIC USE"