EIF2AK4 Polyclonal Antibody

Cat.#: 165222

Special Price 226.5 USD

Availability: In Stock
- +

Add to cart to get an online quotation

Product Information

  • Product Name
    EIF2AK4 Polyclonal Antibody
  • Documents
  • Description
    Polyclonal antibody to EIF2AK4
  • Tested applications
    WB, IHC
  • Species reactivity
    Human, Rat
  • Alternative names
    EIF2AK4 antibody; GCN2 antibody; PVOD2 antibody; eIF-2-alpha kinase GCN2 antibody
  • Isotype
    Rabbit IgG
  • Preparation
    Antigen: Recombinant fusion protein containing a sequence corresponding to amino acids 1-300 of human EIF2AK4 (NP_001013725.2).
  • Clonality
    Polyclonal
  • Formulation
    PBS with 0.02% sodium azide, 50% glycerol, pH7.3.
  • Storage instructions
    Store at -20℃. Avoid freeze / thaw cycles.
  • Applications
    WB 1:500 - 1:2000
    IHC 1:50 - 1:200
  • Validations

    Western blot - EIF2AK4 Polyclonal Antibody

    Western blot - EIF2AK4 Polyclonal Antibody

    Western blot analysis of extracts of HepG2 cells, using EIF2AK4 antibody at 1:1000 dilution._Secondary antibody: HRP Goat Anti-Rabbit IgG (H+L) at 1:10000 dilution._Lysates/proteins: 25ug per lane._Blocking buffer: 3% nonfat dry milk in TBST._Detection: ECL Basic Kit ._Exposure time: 30s.

    Immunohistochemistry - EIF2AK4 Polyclonal Antibody

    Immunohistochemistry - EIF2AK4 Polyclonal Antibody

    Immunohistochemistry of paraffin-embedded rat brain using EIF2AK4 antibody at dilution of 1:100 (40x lens).

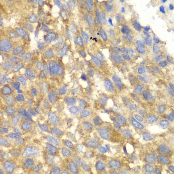
    Immunohistochemistry - EIF2AK4 Polyclonal Antibody

    Immunohistochemistry - EIF2AK4 Polyclonal Antibody

    Immunohistochemistry of paraffin-embedded human esophageal cancer using EIF2AK4 antibody at dilution of 1:100 (40x lens).

  • Background
    Metabolic-stress sensing protein kinase that phosphorylates the alpha subunit of eukaryotic translation initiation factor 2 (eIF-2-alpha/EIF2S1) on 'Ser-52' in response to low amino acid availability. Plays a role as an activator of the integrated stress response (ISR) required for adapatation to amino acid starvation. Converts phosphorylated eIF-2-alpha/EIF2S1 either to a competitive inhibitor of the translation initiation factor eIF-2B, leading to a global protein synthesis repression, and thus to a reduced overall utilization of amino acids, or to a translational initiation activation of specific mRNAs, such as the transcriptional activator ATF4, and hence allowing ATF4-mediated reprogramming of amino acid biosynthetic gene expression to alleviate nutrient depletion. Binds uncharged tRNAs (By similarity). Involved in cell cycle arrest by promoting cyclin D1 mRNA translation repression after the unfolded protein response pathway (UPR) activation or cell cycle inhibitor CDKN1A/p21 mRNA translation activation in response to amino acid deprivation. Plays a role in the consolidation of synaptic plasticity, learning as well as formation of long-term memory. Plays a role in neurite outgrowth inhibition. Plays a proapoptotic role in response to glucose deprivation. Promotes global cellular protein synthesis repression in response to UV irradiation independently of the stress-activated protein kinase/c-Jun N-terminal kinase (SAPK/JNK) and p38 MAPK signaling pathways (By similarity). Plays a role in the antiviral response against alphavirus infection; impairs early viral mRNA translation of the incoming genomic virus RNA, thus preventing alphavirus replication (By similarity).; (Microbial infection) Plays a role in modulating the adaptive immune response to yellow fever virus infection; promotes dendritic cells to initiate autophagy and antigene presentation to both CD4(+) and CD8(+) T-cells under amino acid starvation.

Please note: All products are "FOR RESEARCH USE ONLY AND ARE NOT INTENDED FOR DIAGNOSTIC OR THERAPEUTIC USE"