EIF1AX Polyclonal Antibody

Cat.#: 164692

Special Price 226.5 USD

Availability: In Stock
- +

Add to cart to get an online quotation

Product Information

  • Product Name
    EIF1AX Polyclonal Antibody
  • Documents
  • Description
    Polyclonal antibody to EIF1AX
  • Tested applications
    WB, IHC, IF
  • Species reactivity
    Human, Mouse, Rat
  • Alternative names
    EIF1AX antibody; EIF1A antibody; EIF1AP1 antibody; EIF4C antibody; eIF-1A antibody; eIF-4C antibody; eukaryotic translation initiation factor 1A, X-linked antibody
  • Isotype
    Rabbit IgG
  • Preparation
    Antigen: Recombinant fusion protein containing a sequence corresponding to amino acids 10-144 of human EIF1AX (NP_001403.1).
  • Clonality
    Polyclonal
  • Formulation
    PBS with 0.02% sodium azide, 50% glycerol, pH7.3.
  • Storage instructions
    Store at -20℃. Avoid freeze / thaw cycles.
  • Applications
    WB 1:200 - 1:2000
    IHC 1:100 - 1:200
    IF 1:50 - 1:200
  • Validations

    Western blot - EIF1AX Polyclonal Antibody

    Western blot - EIF1AX Polyclonal Antibody

    Western blot analysis of extracts of various cell lines, using EIF1AX antibody at 1:1000 dilution.Secondary antibody: HRP Goat Anti-Rabbit IgG (H+L) at 1:10000 dilution.Lysates/proteins: 25ug per lane.Blocking buffer: 3% nonfat dry milk in TBST.Detection: ECL Basic Kit .Exposure time: 30s.

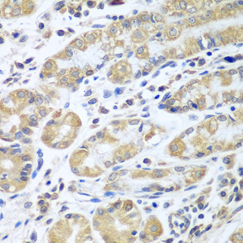
    Immunohistochemistry - EIF1AX Polyclonal Antibody

    Immunohistochemistry - EIF1AX Polyclonal Antibody

    Immunohistochemistry of paraffin-embedded human stomach using EIF1AX antibody at dilution of 1:100 (40x lens).

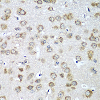
    Immunohistochemistry - EIF1AX Polyclonal Antibody

    Immunohistochemistry - EIF1AX Polyclonal Antibody

    Immunohistochemistry of paraffin-embedded mouse brain using EIF1AX antibody at dilution of 1:100 (40x lens).

  • Background
    Seems to be required for maximal rate of protein biosynthesis. Enhances ribosome dissociation into subunits and stabilizes the binding of the initiator Met-tRNA(I) to 40 S ribosomal subunits.

Please note: All products are "FOR RESEARCH USE ONLY AND ARE NOT INTENDED FOR DIAGNOSTIC OR THERAPEUTIC USE"