EFTUD2 Polyclonal Antibody

Cat.#: 165154

Special Price 226.5 USD

Availability: In Stock
- +

Add to cart to get an online quotation

Product Information

  • Product Name
    EFTUD2 Polyclonal Antibody
  • Documents
  • Description
    Polyclonal antibody to EFTUD2
  • Tested applications
    WB, IHC, IF, IP
  • Species reactivity
    Human, Mouse, Rat
  • Alternative names
    EFTUD2 antibody; MFDGA antibody; MFDM antibody; SNRNP116 antibody; Snrp116 antibody; Snu114 antibody; U5-116KD antibody; 116 kDa U5 small nuclear ribonucleoprotein component antibody
  • Isotype
    Rabbit IgG
  • Preparation
    Antigen: Recombinant fusion protein containing a sequence corresponding to amino acids 1-205 of human EFTUD2 (NP_004238.3).
  • Clonality
    Polyclonal
  • Formulation
    PBS with 0.02% sodium azide, 50% glycerol, pH7.3.
  • Storage instructions
    Store at -20℃. Avoid freeze / thaw cycles.
  • Applications
    WB 1:500 - 1:2000
    IHC 1:50 - 1:200
    IF 1:50 - 1:100
    IP 1:20 - 1:50
  • Validations

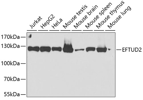
    Western blot - EFTUD2 Polyclonal Antibody

    Western blot - EFTUD2 Polyclonal Antibody

    Western blot analysis of extracts of various cell lines, using EFTUD2 antibody at 1:2000 dilution.Secondary antibody: HRP Goat Anti-Rabbit IgG (H+L) at 1:10000 dilution.Lysates/proteins: 25ug per lane.Blocking buffer: 3% nonfat dry milk in TBST.Detection: ECL Enhanced Kit .Exposure time: 20s.

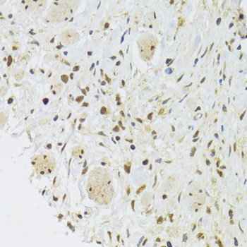
    Immunohistochemistry - EFTUD2 Polyclonal Antibody

    Immunohistochemistry - EFTUD2 Polyclonal Antibody

    Immunohistochemistry of paraffin-embedded mouse brain using EFTUD2 Antibody at dilution of 1:100 (40x lens).

    Immunohistochemistry - EFTUD2 Polyclonal Antibody

    Immunohistochemistry - EFTUD2 Polyclonal Antibody

    Immunohistochemistry of paraffin-embedded rat liver using EFTUD2 Antibody at dilution of 1:100 (40x lens).

    Immunohistochemistry - EFTUD2 Polyclonal Antibody

    Immunohistochemistry - EFTUD2 Polyclonal Antibody

    Immunohistochemistry of paraffin-embedded human stomach using EFTUD2 Antibody at dilution of 1:100 (40x lens).

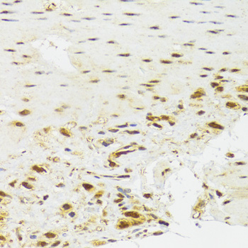
    Immunohistochemistry - EFTUD2 Polyclonal Antibody

    Immunohistochemistry - EFTUD2 Polyclonal Antibody

    Immunohistochemistry of paraffin-embedded human gastric cancer using EFTUD2 Antibody at dilution of 1:100 (40x lens).

    Immunohistochemistry - EFTUD2 Polyclonal Antibody

    Immunohistochemistry - EFTUD2 Polyclonal Antibody

    Immunohistochemistry of paraffin-embedded mouse brain using EFTUD2 Antibody at dilution of 1:100 (40x lens).

    Immunohistochemistry - EFTUD2 Polyclonal Antibody

    Immunohistochemistry - EFTUD2 Polyclonal Antibody

    Immunohistochemistry of paraffin-embedded mouse kidney using EFTUD2 Antibody at dilution of 1:100 (40x lens).

    Immunofluorescence - EFTUD2 Polyclonal Antibody

    Immunofluorescence - EFTUD2 Polyclonal Antibody

    Immunofluorescence analysis of U2OS cells using EFTUD2 antibody .

  • Background
    Component of the U5 snRNP and the U4/U6-U5 tri-snRNP complex required for pre-mRNA splicing. Binds GTP.

Please note: All products are "FOR RESEARCH USE ONLY AND ARE NOT INTENDED FOR DIAGNOSTIC OR THERAPEUTIC USE"