EEF1G Polyclonal Antibody

Cat.#: 163872

Special Price 226.5 USD

Availability: In Stock
- +

Add to cart to get an online quotation

Product Information

  • Product Name
    EEF1G Polyclonal Antibody
  • Documents
  • Description
    Polyclonal antibody to EEF1G
  • Tested applications
    WB, IHC, IF
  • Species reactivity
    Human, Mouse, Rat
  • Alternative names
    EEF1G antibody; EF1G antibody; GIG35 antibody; elongation factor 1-gamma antibody
  • Isotype
    Rabbit IgG
  • Preparation
    Antigen: Recombinant protein of human EEF1G
  • Clonality
    Polyclonal
  • Formulation
    PBS with 0.02% sodium azide, 50% glycerol, pH7.3.
  • Storage instructions
    Store at -20℃. Avoid freeze / thaw cycles.
  • Applications
    WB 1:500 - 1:2000
    IHC 1:100 - 1:200
    IF 1:50 - 1:200
  • Validations

    Western blot - EEF1G Polyclonal Antibody

    Western blot - EEF1G Polyclonal Antibody

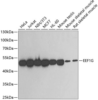
    Western blot analysis of extracts of various cell lines, using EEF1G antibody at 1:500 dilution.Secondary antibody: HRP Goat Anti-Rabbit IgG (H+L) at 1:10000 dilution.Lysates/proteins: 25ug per lane.Blocking buffer: 3% nonfat dry milk in TBST.Detection: ECL Enhanced Kit .Exposure time: 30s.

    Immunohistochemistry - EEF1G Polyclonal Antibody

    Immunohistochemistry - EEF1G Polyclonal Antibody

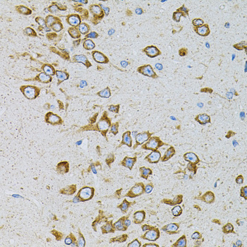
    Immunohistochemistry of paraffin-embedded mouse brain using EEF1G antibody (40x lens).

    Immunohistochemistry - EEF1G Polyclonal Antibody

    Immunohistochemistry - EEF1G Polyclonal Antibody

    Immunohistochemistry of paraffin-embedded rat brain using EEF1G antibody (40x lens).

    Immunohistochemistry - EEF1G Polyclonal Antibody

    Immunohistochemistry - EEF1G Polyclonal Antibody

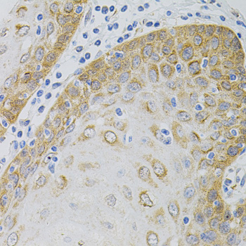
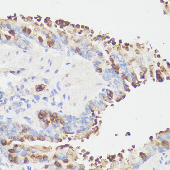
    Immunohistochemistry of paraffin-embedded human esophagus using EEF1G antibody (40x lens).

    Immunohistochemistry - EEF1G Polyclonal Antibody

    Immunohistochemistry - EEF1G Polyclonal Antibody

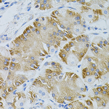
    Immunohistochemistry of paraffin-embedded human stomach using EEF1G antibody (40x lens).

    Immunohistochemistry - EEF1G Polyclonal Antibody

    Immunohistochemistry - EEF1G Polyclonal Antibody

    Immunohistochemistry of paraffin-embedded human liver cancer using EEF1G antibody at dilution of 1:100 (40x lens).

    Immunohistochemistry - EEF1G Polyclonal Antibody

    Immunohistochemistry - EEF1G Polyclonal Antibody

    Immunohistochemistry of paraffin-embedded human gastric cancer using EEF1G antibody at dilution of 1:100 (40x lens).

    Immunofluorescence - EEF1G Polyclonal Antibody

    Immunofluorescence - EEF1G Polyclonal Antibody

    Immunofluorescence analysis of A431 cells using EEF1G antibody at dilution of 1:100. Blue: DAPI for nuclear staining.

  • Background
    Probably plays a role in anchoring the complex to other cellular components.

Please note: All products are "FOR RESEARCH USE ONLY AND ARE NOT INTENDED FOR DIAGNOSTIC OR THERAPEUTIC USE"