DYNC1I1 Polyclonal Antibody

Cat.#: 164214

Special Price 226.5 USD

Availability: In Stock
- +

Add to cart to get an online quotation

Product Information

  • Product Name
    DYNC1I1 Polyclonal Antibody
  • Documents
  • Description
    Polyclonal antibody to DYNC1I1
  • Tested applications
    WB, IHC
  • Species reactivity
    Human, Mouse, Rat
  • Alternative names
    DYNC1I1 antibody; DNCI1 antibody; DNCIC1 antibody; cytoplasmic dynein 1 intermediate chain 1 antibody
  • Isotype
    Rabbit IgG
  • Preparation
    Antigen: Recombinant fusion protein containing a sequence corresponding to amino acids 1-220 of human DYNC1I1 (NP_001129028.1).
  • Clonality
    Polyclonal
  • Formulation
    PBS with 0.02% sodium azide, 50% glycerol, pH7.3.
  • Storage instructions
    Store at -20℃. Avoid freeze / thaw cycles.
  • Applications
    WB 1:200 - 1:2000
    IHC 1:20 - 1:200
  • Validations

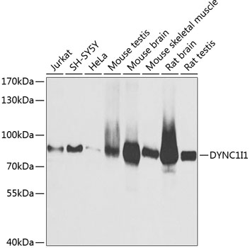
    Western blot - DYNC1I1 Polyclonal Antibody

    Western blot - DYNC1I1 Polyclonal Antibody

    Western blot analysis of extracts of various cell lines, using DYNC1I1 antibody at 1:1000 dilution.Secondary antibody: HRP Goat Anti-Rabbit IgG (H+L) at 1:10000 dilution.Lysates/proteins: 25ug per lane.Blocking buffer: 3% nonfat dry milk in TBST.Detection: ECL Basic Kit .Exposure time: 5s.

    Immunohistochemistry - DYNC1I1 Polyclonal Antibody

    Immunohistochemistry - DYNC1I1 Polyclonal Antibody

    Immunohistochemistry of paraffin-embedded human stomach using DYNC1I1 antibody at dilution of 1:100 (40x lens).

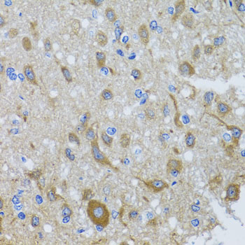
    Immunohistochemistry - DYNC1I1 Polyclonal Antibody

    Immunohistochemistry - DYNC1I1 Polyclonal Antibody

    Immunohistochemistry of paraffin-embedded rat brain using DYNC1I1 antibody at dilution of 1:100 (40x lens).

  • Background
    Acts as one of several non-catalytic accessory components of the cytoplasmic dynein 1 complex that are thought to be involved in linking dynein to cargos and to adapter proteins that regulate dynein function. Cytoplasmic dynein 1 acts as a motor for the intracellular retrograde motility of vesicles and organelles along microtubules. The intermediate chains mediate the binding of dynein to dynactin via its 150 kDa component (p150-glued) DCNT1. May play a role in mediating the interaction of cytoplasmic dynein with membranous organelles and kinetochores.

Please note: All products are "FOR RESEARCH USE ONLY AND ARE NOT INTENDED FOR DIAGNOSTIC OR THERAPEUTIC USE"