DR1 Polyclonal Antibody

Cat.#: 165085

Special Price 226.5 USD

Availability: In Stock
- +

Add to cart to get an online quotation

Product Information

  • Product Name
    DR1 Polyclonal Antibody
  • Documents
  • Description
    Polyclonal antibody to DR1
  • Tested applications
    WB, IHC, IF
  • Species reactivity
    Human, Mouse, Rat
  • Alternative names
    DR1 antibody; NC2 antibody; NC2-BETA antibody; NC2B antibody; NCB2 antibody; protein Dr1 antibody
  • Isotype
    Rabbit IgG
  • Preparation
    Antigen: Recombinant fusion protein containing a sequence corresponding to amino acids 1-176 of human DR1 (NP_001929.1).
  • Clonality
    Polyclonal
  • Formulation
    PBS with 0.02% sodium azide, 50% glycerol, pH7.3.
  • Storage instructions
    Store at -20℃. Avoid freeze / thaw cycles.
  • Applications
    WB 1:500 - 1:2000
    IHC 1:50 - 1:200
    IF 1:50 - 1:200
  • Validations

    Western blot - DR1 Polyclonal Antibody

    Western blot - DR1 Polyclonal Antibody

    Western blot analysis of extracts of various cell lines, using DR1 antibody at 1:1000 dilution.Secondary antibody: HRP Goat Anti-Rabbit IgG (H+L) at 1:10000 dilution.Lysates/proteins: 25ug per lane.Blocking buffer: 3% nonfat dry milk in TBST.Detection: ECL Basic Kit .Exposure time: 30s.

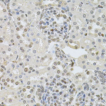
    Immunohistochemistry - DR1 Polyclonal Antibody

    Immunohistochemistry - DR1 Polyclonal Antibody

    Immunohistochemistry of paraffin-embedded rat kidney using DR1 Antibody at dilution of 1:100 (40x lens).

    Immunohistochemistry - DR1 Polyclonal Antibody

    Immunohistochemistry - DR1 Polyclonal Antibody

    Immunohistochemistry of paraffin-embedded mouse brain using DR1 Antibody at dilution of 1:100 (40x lens).

    Immunofluorescence - DR1 Polyclonal Antibody

    Immunofluorescence - DR1 Polyclonal Antibody

    Immunofluorescence analysis of MCF7 cells using DR1 antibody .

  • Background
    The association of the DR1/DRAP1 heterodimer with TBP results in a functional repression of both activated and basal transcription of class II genes. This interaction precludes the formation of a transcription-competent complex by inhibiting the association of TFIIA and/or TFIIB with TBP. Can bind to DNA on its own. Component of the ATAC complex, a complex with histone acetyltransferase activity on histones H3 and H4.

Please note: All products are "FOR RESEARCH USE ONLY AND ARE NOT INTENDED FOR DIAGNOSTIC OR THERAPEUTIC USE"