DPPA2 Polyclonal Antibody

Cat.#: 166594

Special Price 226.5 USD

Availability: In Stock
- +

Add to cart to get an online quotation

Product Information

  • Product Name
    DPPA2 Polyclonal Antibody
  • Documents
  • Description
    Polyclonal antibody to DPPA2
  • Tested applications
    WB
  • Species reactivity
    Human, Mouse, Rat
  • Alternative names
    DPPA2 antibody; CT100 antibody; ECAT15-2 antibody; PESCRG1 antibody; developmental pluripotency associated 2 antibody
  • Isotype
    Rabbit IgG
  • Preparation
    Antigen: Recombinant fusion protein containing a sequence corresponding to amino acids 1-200 of human DPPA2 (NP_620170.3).
  • Clonality
    Polyclonal
  • Formulation
    PBS with 0.02% sodium azide, 50% glycerol, pH7.3.
  • Storage instructions
    Store at -20℃. Avoid freeze / thaw cycles.
  • Applications
    WB 1:500 - 1:2000
  • Validations

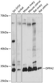
    Western blot - DPPA2 Polyclonal Antibody

    Western blot - DPPA2 Polyclonal Antibody

    Western blot analysis of extracts of various cell lines, using DPPA2 antibody at 1:1000 dilution.Secondary antibody: HRP Goat Anti-Rabbit IgG (H+L) at 1:10000 dilution.Lysates/proteins: 25ug per lane.Blocking buffer: 3% nonfat dry milk in TBST.Detection: ECL Basic Kit .Exposure time: 10s.

  • Background
    Binds to target gene promoters, including NKX2-5 and SYCE1, but not GATA4, and may be involved in the maintenance of the active epigenetic status of these genes.

Please note: All products are "FOR RESEARCH USE ONLY AND ARE NOT INTENDED FOR DIAGNOSTIC OR THERAPEUTIC USE"