DPM1 antibody

Cat.#: 110067

Size:

Special Price 239.0 USD

Availability: In Stock
- +

Add to cart to get an online quotation

Product Information

  • Product Name
    DPM1 antibody
  • Documents
  • Description
    DPM1 Rabbit Polyclonal antibody. Positive IHC detected in human gliomas. Positive WB detected in mouse pancreas tissue, human brain tissue. Observed molecular weight by Western-blot: 27-32 kDa
  • Tested applications
    ELISA, WB, IHC
  • Species reactivity
    human, mouse; other species not tested.
  • Alternative names
    DPM1 antibody; MPDS antibody; CDGIE antibody; MPD synthase antibody; Mannose P dolichol synthase antibody
  • Isotype
    Rabbit IgG
  • Preparation
    This antibody was obtained by immunization of DPM1 recombinant protein (Accession Number: NM_003859). Purification method: Antigen affinity purified.
  • Clonality
    Polyclonal
  • Formulation
    PBS with 0.1% sodium azide and 50% glycerol pH 7.3.
  • Storage instructions
    Store at -20℃. DO NOT ALIQUOT
  • Applications

    Recommended Dilution:

    WB: 1:200-1:2000

    IHC: 1:20-1:200

  • Validations

    mouse pancreas tissue were subjected to SDS PAGE followed by western blot with Catalog No:110067(DPM1 antibody) at dilution of 1:500

    mouse pancreas tissue were subjected to SDS PAGE followed by western blot with Catalog No:110067(DPM1 antibody) at dilution of 1:500

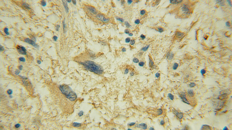
    Immunohistochemical of paraffin-embedded human gliomas using Catalog No:110067(DPM1 antibody) at dilution of 1:50 (under 10x lens)

    Immunohistochemical of paraffin-embedded human gliomas using Catalog No:110067(DPM1 antibody) at dilution of 1:50 (under 10x lens)

  • Background
    DPM1 represents dolichyl-phosphate mannosyltransferase polypeptide 1, catalytic subunit

Please note: All products are "FOR RESEARCH USE ONLY AND ARE NOT INTENDED FOR DIAGNOSTIC OR THERAPEUTIC USE"