DLST Polyclonal Antibody

Cat.#: 161564

Special Price 226.5 USD

Availability: In Stock
- +

Add to cart to get an online quotation

Product Information

  • Product Name
    DLST Polyclonal Antibody
  • Documents
  • Description
    Polyclonal antibody to DLST
  • Tested applications
    WB, IHC, IF
  • Species reactivity
    Human, Mouse, Rat
  • Alternative names
    DLST antibody; DLTS antibody; dihydrolipoamide S-succinyltransferase antibody
  • Isotype
    Rabbit IgG
  • Preparation
    Antigen: Recombinant fusion protein containing a sequence corresponding to amino acids 1-290 of human DLST (NP_001924.2).
  • Clonality
    Polyclonal
  • Formulation
    PBS with 0.02% sodium azide, 50% glycerol, pH7.3.
  • Storage instructions
    Store at -20℃. Avoid freeze / thaw cycles.
  • Applications
    WB 1:500 - 1:2000
    IHC 1:50 - 1:100
    IF 1:50 - 1:100
  • Validations

    Western blot - DLST Polyclonal Antibody

    Western blot - DLST Polyclonal Antibody

    Western blot analysis of extracts of various cell lines, using DLST antibody at 1:1000 dilution.Secondary antibody: HRP Goat Anti-Rabbit IgG (H+L) at 1:10000 dilution.Lysates/proteins: 25ug per lane.Blocking buffer: 3% nonfat dry milk in TBST.Detection: ECL Basic Kit .Exposure time: 30s.

    Immunohistochemistry - DLST Polyclonal Antibody

    Immunohistochemistry - DLST Polyclonal Antibody

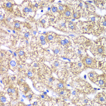
    Immunohistochemistry of paraffin-embedded human liver injury using DLST antibody at dilution of 1:100 (40x lens).

    Immunohistochemistry - DLST Polyclonal Antibody

    Immunohistochemistry - DLST Polyclonal Antibody

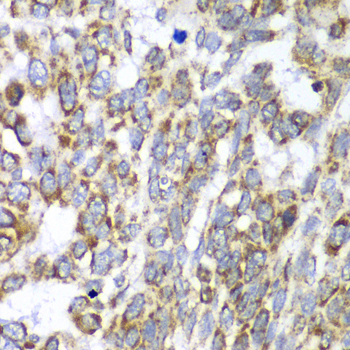
    Immunohistochemistry of paraffin-embedded human esophageal cancer using DLST antibody at dilution of 1:100 (40x lens).

    Immunohistochemistry - DLST Polyclonal Antibody

    Immunohistochemistry - DLST Polyclonal Antibody

    Immunohistochemistry of paraffin-embedded human gastric cancer using DLST antibody at dilution of 1:100 (40x lens).

  • Background
    Dihydrolipoamide succinyltransferase (E2) component of the 2-oxoglutarate dehydrogenase complex (By similarity). The 2-oxoglutarate dehydrogenase complex catalyzes the overall conversion of 2-oxoglutarate to succinyl-CoA and CO(2) (By similarity). The 2-oxoglutarate dehydrogenase complex is mainly active in the mitochondrion. A fraction of the 2-oxoglutarate dehydrogenase complex also localizes in the nucleus and is required for lysine succinylation of histones: associates with KAT2A on chromatin and provides succinyl-CoA to histone succinyltransferase KAT2A.

Please note: All products are "FOR RESEARCH USE ONLY AND ARE NOT INTENDED FOR DIAGNOSTIC OR THERAPEUTIC USE"