DICER1 Polyclonal Antibody

Cat.#: 164713

Special Price 226.5 USD

Availability: In Stock
- +

Add to cart to get an online quotation

Product Information

  • Product Name
    DICER1 Polyclonal Antibody
  • Documents
  • Description
    Polyclonal antibody to DICER1
  • Tested applications
    WB, IHC, IF
  • Species reactivity
    Human, Mouse, Rat
  • Alternative names
    DICER1 antibody; DCR1 antibody; Dicer antibody; Dicer1e antibody; HERNA antibody; K12H4.8-LIKE antibody; MNG1 antibody; RMSE2 antibody; endoribonuclease Dicer antibody
  • Isotype
    Rabbit IgG
  • Preparation
    Antigen: Recombinant fusion protein containing a sequence corresponding to amino acids 1200-1460 of human DICER1 (NP_085124.2).
  • Clonality
    Polyclonal
  • Formulation
    PBS with 0.02% sodium azide, 50% glycerol, pH7.3.
  • Storage instructions
    Store at -20℃. Avoid freeze / thaw cycles.
  • Applications
    WB 1:500 - 1:1000
    IHC 1:50 - 1:200
    IF 1:100 - 1:200
  • Validations

    Western blot - DICER1 Polyclonal Antibody

    Western blot - DICER1 Polyclonal Antibody

    Western blot analysis of extracts of various cell lines, using DICER1 antibody at 1:1000 dilution.Secondary antibody: HRP Goat Anti-Rabbit IgG (H+L) at 1:10000 dilution.Lysates/proteins: 25ug per lane.Blocking buffer: 3% nonfat dry milk in TBST.Detection: ECL Basic Kit .Exposure time: 90s.

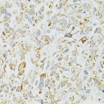
    Immunohistochemistry - DICER1 Polyclonal Antibody

    Immunohistochemistry - DICER1 Polyclonal Antibody

    Immunohistochemistry of paraffin-embedded human lung cancer using DICER1 antibody at dilution of 1:100 (40x lens).

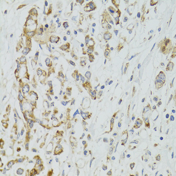
    Immunohistochemistry - DICER1 Polyclonal Antibody

    Immunohistochemistry - DICER1 Polyclonal Antibody

    Immunohistochemistry of paraffin-embedded human gastric cancer using DICER1 antibody at dilution of 1:100 (40x lens).

    Immunohistochemistry - DICER1 Polyclonal Antibody

    Immunohistochemistry - DICER1 Polyclonal Antibody

    Immunohistochemistry of paraffin-embedded mouse brain using DICER1 antibody at dilution of 1:100 (40x lens).

  • Background
    Double-stranded RNA (dsRNA) endoribonuclease playing a central role in short dsRNA-mediated post-transcriptional gene silencing. Cleaves naturally occurring long dsRNAs and short hairpin pre-microRNAs (miRNA) into fragments of twenty-one to twenty-three nucleotides with 3' overhang of two nucleotides, producing respectively short interfering RNAs (siRNA) and mature microRNAs. SiRNAs and miRNAs serve as guide to direct the RNA-induced silencing complex (RISC) to complementary RNAs to degrade them or prevent their translation. Gene silencing mediated by siRNAs, also called RNA interference, controls the elimination of transcripts from mobile and repetitive DNA elements of the genome but also the degradation of exogenous RNA of viral origin for instance. The miRNA pathway on the other side is a mean to specifically regulate the expression of target genes.

Please note: All products are "FOR RESEARCH USE ONLY AND ARE NOT INTENDED FOR DIAGNOSTIC OR THERAPEUTIC USE"