-
Product Name
DGCR8 C-terminal antibody
- Documents
-
Description
DGCR8 C-terminal Rabbit Polyclonal antibody. Positive WB detected in Jurkat cells, A431 cells, HEK-293 cells, HeLa cells, mouse testis tissue. Positive IP detected in HEK-293 cells. Positive FC detected in HeLa cells, SH-SY5Y cells. Positive IF detected in SH-SY5Y cells. Positive IHC detected in human breast cancer tissue, human colon cancer tissue. Observed molecular weight by Western-blot: 120 kDa
-
Tested applications
ELISA, WB, IHC, IF, IP, FC
-
Species reactivity
Human,Mouse,Rat; other species not tested.
-
Alternative names
C22orf12 antibody; DGCR8 antibody; DGCRK6 antibody; Gy1 antibody
-
Isotype
Rabbit IgG
-
Preparation
This antibody was obtained by immunization of DGCR8 C-terminal recombinant protein (Accession Number: BC009323). Purification method: Antigen affinity purified.
-
Clonality
Polyclonal
-
Formulation
PBS with 0.1% sodium azide and 50% glycerol pH 7.3.
-
Storage instructions
Store at -20℃. DO NOT ALIQUOT
-
Applications
Recommended Dilution:
WB: 1:200-1:2000
IP: 1:200-1:2000
IHC: 1:20-1:200
IF: 1:20-1:200
-
Validations
Jurkat cells were subjected to SDS PAGE followed by western blot with Catalog No:109905(DGCR8 antibody) at dilution of 1:800
IP Result of anti-DGCR8 (IP:Catalog No:109905, 3ug; Detection:Catalog No:109905 1:800) with HEK-293 cells lysate 2700ug.
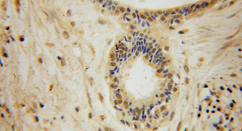
Immunohistochemical of paraffin-embedded human breast cancer using Catalog No:109905(DGCR8 antibody) at dilution of 1:100 (under 10x lens)
Immunohistochemical of paraffin-embedded human breast cancer using Catalog No:109905(DGCR8 antibody) at dilution of 1:100 (under 40x lens)
Immunofluorescent analysis of SH-SY5Y cells, using DGCR8 antibody Catalog No:109905 at 1:50 dilution and FITC-labeled donkey anti-rabbit IgG(green). Blue pseudocolor = DAPI (fluorescent DNA dye).
1X10^6 HeLa cells were stained with 0.2ug DGCR8 antibody (Catalog No:109905, red) and control antibody (blue). Fixed with 4% PFA blocked with 3% BSA (30 min). Alexa Fluor 488-congugated AffiniPure Goat Anti-Rabbit IgG(H+L) with dilution 1:1000.
-
Background
DGCR8 is a RNA-binding protein that assists the Rnase III enzyme Drosha in the processing of microRNAs (miRNAs), which regulate the expression of a large number of protein-coding genes[PMID: 22580560]. DGCR8, which contains two double-stranded RNA (dsRNA)-binding domains, may be an essential component of the primary miRNAs processing complex, along with Drosha, promoting the processing of primary microRNA to precursor microRNA. It is ubiquitous expressed in human and mouse tissues, and is deleted in DiGeorge syndrome[22323604]. The calculated molecular weight of DGCR8 is a 82-86 kDa protein, but the post-modified DGCR8 is about 120 kDa.
-
References
- Morlando M, Ballarino M, Gromak N, Pagano F, Bozzoni I, Proudfoot NJ. Primary microRNA transcripts are processed co-transcriptionally. Nature structural & molecular biology. 15(9):902-9. 2008.
- Gómez-Cabello D, Callejas S, Benguría A, Moreno A, Alonso J, Palmero I. Regulation of the microRNA processor DGCR8 by the tumor suppressor ING1. Cancer research. 70(5):1866-74. 2010.
- Song G, Sharma AD, Roll GR. MicroRNAs control hepatocyte proliferation during liver regeneration. Hepatology (Baltimore, Md.). 51(5):1735-43. 2010.
- Saunders LR, Sharma AD, Tawney J. miRNAs regulate SIRT1 expression during mouse embryonic stem cell differentiation and in adult mouse tissues. Aging. 2(7):415-31. 2010.
- Noh H, Hong S, Dong Z, Pan ZK, Jing Q, Huang S. Impaired MicroRNA Processing Facilitates Breast Cancer Cell Invasion by Upregulating Urokinase-Type Plasminogen Activator Expression. Genes & cancer. 2(2):140-50. 2011.
- Cazalla D, Xie M, Steitz JA. A primate herpesvirus uses the integrator complex to generate viral microRNAs. Molecular cell. 43(6):982-92. 2011.
- Dai L, Tsai-Morris CH, Sato H. Testis-specific miRNA-469 up-regulated in gonadotropin-regulated testicular RNA helicase (GRTH/DDX25)-null mice silences transition protein 2 and protamine 2 messages at sites within coding region: implications of its role in germ cell development. The Journal of biological chemistry. 286(52):44306-18. 2011.
- Davis BN, Hilyard AC, Nguyen PH, Lagna G, Hata A. Smad proteins bind a conserved RNA sequence to promote microRNA maturation by Drosha. Molecular cell. 39(3):373-84. 2010.
Related Products / Services
Please note: All products are "FOR RESEARCH USE ONLY AND ARE NOT INTENDED FOR DIAGNOSTIC OR THERAPEUTIC USE"