DEPDC6 Polyclonal Antibody

Cat.#: 166112

Special Price 226.5 USD

Availability: In Stock
- +

Add to cart to get an online quotation

Product Information

  • Product Name
    DEPDC6 Polyclonal Antibody
  • Documents
  • Description
    Polyclonal antibody to DEPDC6
  • Tested applications
    WB
  • Species reactivity
    Human, Mouse
  • Alternative names
    DEPTOR antibody; DEP.6 antibody; DEPDC6 antibody; DEP domain-containing mTOR-interacting protein antibody
  • Isotype
    Rabbit IgG
  • Preparation
    Antigen: Recombinant fusion protein containing a sequence corresponding to amino acids 1-220 of human DEPDC6 (NP_073620.2).
  • Clonality
    Polyclonal
  • Formulation
    PBS with 0.02% sodium azide, 50% glycerol, pH7.3.
  • Storage instructions
    Store at -20℃. Avoid freeze / thaw cycles.
  • Applications
    WB 1:500 - 1:2000
  • Validations

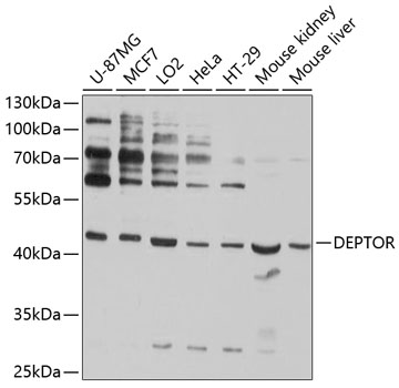
    Western blot - DEPDC6 Polyclonal Antibody

    Western blot - DEPDC6 Polyclonal Antibody

    Western blot analysis of extracts of various cell lines, using DEPTOR antibody at 1:3000 dilution.Secondary antibody: HRP Goat Anti-Rabbit IgG (H+L) at 1:10000 dilution.Lysates/proteins: 25ug per lane.Blocking buffer: 3% nonfat dry milk in TBST.Detection: ECL Basic Kit .Exposure time: 10s.

  • Background
    Negative regulator of the mTORC1 and mTORC2 signaling pathways. Inhibits the kinase activity of both complexes.

Please note: All products are "FOR RESEARCH USE ONLY AND ARE NOT INTENDED FOR DIAGNOSTIC OR THERAPEUTIC USE"