CYP4A11 Polyclonal Antibody

Cat.#: 164523

Special Price 226.5 USD

Availability: In Stock
- +

Add to cart to get an online quotation

Product Information

  • Product Name
    CYP4A11 Polyclonal Antibody
  • Documents
  • Description
    Polyclonal antibody to CYP4A11
  • Tested applications
    WB, IHC
  • Species reactivity
    Human, Mouse
  • Alternative names
    CYP4A11 antibody; CP4Y antibody; CYP4A2 antibody; CYP4AII antibody; cytochrome P450 4A11 antibody
  • Isotype
    Rabbit IgG
  • Preparation
    Antigen: Recombinant fusion protein containing a sequence corresponding to amino acids 1-200 of human CYP4A11 (NP_000769.2).
  • Clonality
    Polyclonal
  • Formulation
    PBS with 0.02% sodium azide, 50% glycerol, pH7.3.
  • Storage instructions
    Store at -20℃. Avoid freeze / thaw cycles.
  • Applications
    WB 1:500 - 1:2000
    IHC 1:50 - 1:100
  • Validations

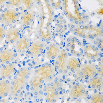
    Immunohistochemistry - CYP4A11 Polyclonal Antibody

    Immunohistochemistry - CYP4A11 Polyclonal Antibody

    Immunohistochemistry of paraffin-embedded mouse kidney using CYP4A11 antibody at dilution of 1:100 (40x lens).

  • Background
    Catalyzes the omega- and (omega-1)-hydroxylation of various fatty acids such as laurate, myristate and palmitate. Has little activity toward prostaglandins A1 and E1. Oxidizes arachidonic acid to 20-hydroxyeicosatetraenoic acid (20-HETE).

Please note: All products are "FOR RESEARCH USE ONLY AND ARE NOT INTENDED FOR DIAGNOSTIC OR THERAPEUTIC USE"