CYP2B6 Polyclonal Antibody

Cat.#: 162186

Special Price 226.5 USD

Availability: In Stock
- +

Add to cart to get an online quotation

Product Information

  • Product Name
    CYP2B6 Polyclonal Antibody
  • Documents
  • Description
    Polyclonal antibody to CYP2B6
  • Tested applications
    WB, IHC
  • Species reactivity
    Human, Mouse, Rat
  • Alternative names
    CYP2B6 antibody; CPB6 antibody; CYP2B antibody; CYP2B7 antibody; CYP2B7P antibody; CYPIIB6 antibody; EFVM antibody; IIB1 antibody; P450 antibody; cytochrome P450 2B6 antibody
  • Isotype
    Rabbit IgG
  • Preparation
    Antigen: Recombinant fusion protein containing a sequence corresponding to amino acids 160-340 of human CYP2B6 (NP_000758.1).
  • Clonality
    Polyclonal
  • Formulation
    PBS with 0.02% sodium azide, 50% glycerol, pH7.3.
  • Storage instructions
    Store at -20℃. Avoid freeze / thaw cycles.
  • Applications
    WB 1:500 - 1:1000
    IHC 1:50 - 1:100
  • Validations

    Western blot - CYP2B6 Polyclonal Antibody

    Western blot - CYP2B6 Polyclonal Antibody

    Western blot analysis of extracts of various cell lines, using CYP2B6 antibody at 1:1000 dilution._Secondary antibody: HRP Goat Anti-Rabbit IgG (H+L) at 1:10000 dilution._Lysates/proteins: 25ug per lane._Blocking buffer: 3% nonfat dry milk in TBST._Detection: ECL Enhanced Kit ._Exposure time: 90s.

    Immunohistochemistry - CYP2B6 Polyclonal Antibody

    Immunohistochemistry - CYP2B6 Polyclonal Antibody

    Immunohistochemistry of paraffin-embedded human lung using CYP2B6 antibody at dilution of 1:100 (40x lens).

    Immunohistochemistry - CYP2B6 Polyclonal Antibody

    Immunohistochemistry - CYP2B6 Polyclonal Antibody

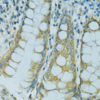
    Immunohistochemistry of paraffin-embedded human colon using CYP2B6 antibody at dilution of 1:100 (40x lens).

    Immunohistochemistry - CYP2B6 Polyclonal Antibody

    Immunohistochemistry - CYP2B6 Polyclonal Antibody

    Immunohistochemistry of paraffin-embedded human colon carcinoma using CYP2B6 antibody at dilution of 1:100 (40x lens).

    Immunohistochemistry - CYP2B6 Polyclonal Antibody

    Immunohistochemistry - CYP2B6 Polyclonal Antibody

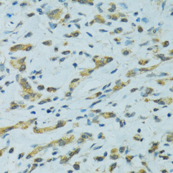
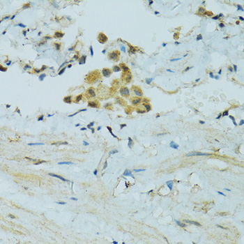
    Immunohistochemistry of paraffin-embedded human breast cancer using CYP2B6 antibody at dilution of 1:100 (40x lens).

    Immunohistochemistry - CYP2B6 Polyclonal Antibody

    Immunohistochemistry - CYP2B6 Polyclonal Antibody

    Immunohistochemistry of paraffin-embedded human stomach using CYP2B6 antibody at dilution of 1:100 (40x lens).

    Immunohistochemistry - CYP2B6 Polyclonal Antibody

    Immunohistochemistry - CYP2B6 Polyclonal Antibody

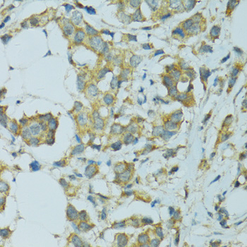
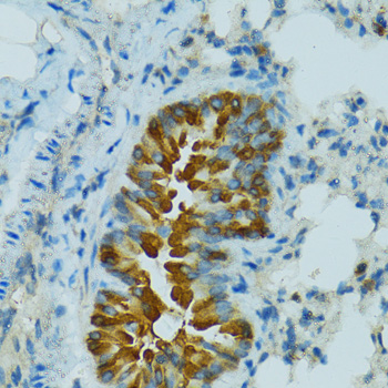
    Immunohistochemistry of paraffin-embedded human gastric cancer using CYP2B6 antibody at dilution of 1:100 (40x lens).

    Immunohistochemistry - CYP2B6 Polyclonal Antibody

    Immunohistochemistry - CYP2B6 Polyclonal Antibody

    Immunohistochemistry of paraffin-embedded mouse lung using CYP2B6 antibody at dilution of 1:100 (40x lens).

    Immunohistochemistry - CYP2B6 Polyclonal Antibody

    Immunohistochemistry - CYP2B6 Polyclonal Antibody

    Immunohistochemistry of paraffin-embedded mouse liver using CYP2B6 antibody at dilution of 1:100 (40x lens).

    Immunohistochemistry - CYP2B6 Polyclonal Antibody

    Immunohistochemistry - CYP2B6 Polyclonal Antibody

    Immunohistochemistry of paraffin-embedded mouse brain using CYP2B6 antibody at dilution of 1:100 (40x lens).

    Immunohistochemistry - CYP2B6 Polyclonal Antibody

    Immunohistochemistry - CYP2B6 Polyclonal Antibody

    Immunohistochemistry of paraffin-embedded mouse kidney using CYP2B6 antibody at dilution of 1:100 (40x lens).

  • Background
    Cytochromes P450 are a group of heme-thiolate monooxygenases. In liver microsomes, this enzyme is involved in an NADPH-dependent electron transport pathway. It oxidizes a variety of structurally unrelated compounds, including steroids, fatty acids, and xenobiotics. Acts as a 1,4-cineole 2-exo-monooxygenase.

Please note: All products are "FOR RESEARCH USE ONLY AND ARE NOT INTENDED FOR DIAGNOSTIC OR THERAPEUTIC USE"