CYP11B2 Polyclonal Antibody

Cat.#: 162080

Special Price 226.5 USD

Availability: In Stock
- +

Add to cart to get an online quotation

Product Information

  • Product Name
    CYP11B2 Polyclonal Antibody
  • Documents
  • Description
    Polyclonal antibody to CYP11B2
  • Tested applications
    WB, IHC, IF
  • Species reactivity
    Human, Mouse, Rat
  • Alternative names
    CYP11B2 antibody; ALDOS antibody; CPN2 antibody; CYP11B antibody; CYP11BL antibody; CYPXIB2 antibody; P-450C18 antibody; P450C18 antibody; P450aldo antibody; cytochrome P450 11B2, mitochondrial antibody
  • Isotype
    Rabbit IgG
  • Preparation
    Antigen: Recombinant fusion protein containing a sequence corresponding to amino acids 234-503 of human CYP11B2 (NP_000489.3).
  • Clonality
    Polyclonal
  • Formulation
    PBS with 0.02% sodium azide, 50% glycerol, pH7.3.
  • Storage instructions
    Store at -20℃. Avoid freeze / thaw cycles.
  • Applications
    WB 1:500 - 1:1000
    IHC 1:50 - 1:100
    IF 1:50 - 1:100
  • Validations

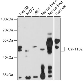
    Western blot - CYP11B2 Polyclonal Antibody

    Western blot - CYP11B2 Polyclonal Antibody

    Western blot analysis of extracts of various cell lines, using CYP11B2 antibody at 1:1000 dilution.Secondary antibody: HRP Goat Anti-Rabbit IgG (H+L) at 1:10000 dilution.Lysates/proteins: 25ug per lane.Blocking buffer: 3% nonfat dry milk in TBST.Detection: ECL Enhanced Kit .Exposure time: 20s.

    Immunohistochemistry - CYP11B2 Polyclonal Antibody

    Immunohistochemistry - CYP11B2 Polyclonal Antibody

    Immunohistochemistry of paraffin-embedded rat adrenal gland using CYP11B2 antibody at dilution of 1:100 (40x lens).

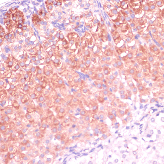
    Immunohistochemistry - CYP11B2 Polyclonal Antibody

    Immunohistochemistry - CYP11B2 Polyclonal Antibody

    Immunohistochemistry of paraffin-embedded mouse adrenal gland using CYP11B2 antibody at dilution of 1:100 (40x lens).

    Immunofluorescence - CYP11B2 Polyclonal Antibody

    Immunofluorescence - CYP11B2 Polyclonal Antibody

    Immunofluorescence analysis of HeLa cells using CYP11B2 antibody at dilution of 1:100 (40x lens). Blue: DAPI for nuclear staining.

  • Background
    Preferentially catalyzes the conversion of 11-deoxycorticosterone to aldosterone via corticosterone and 18-hydroxycorticosterone.

Please note: All products are "FOR RESEARCH USE ONLY AND ARE NOT INTENDED FOR DIAGNOSTIC OR THERAPEUTIC USE"