CTSC Polyclonal Antibody

Cat.#: 165848

Special Price 226.5 USD

Availability: In Stock
- +

Add to cart to get an online quotation

Product Information

  • Product Name
    CTSC Polyclonal Antibody
  • Documents
  • Description
    Polyclonal antibody to CTSC
  • Tested applications
    WB, IHC
  • Species reactivity
    Human, Mouse, Rat
  • Alternative names
    CTSC antibody; CPPI antibody; DPP-I antibody; DPP1 antibody; DPPI antibody; HMS antibody; JP antibody; JPD antibody; PALS antibody; PDON1 antibody; PLS antibody; cathepsin C antibody
  • Isotype
    Rabbit IgG
  • Preparation
    Antigen: Recombinant fusion protein containing a sequence corresponding to amino acids 25-134 of human CTSC (NP_001805.3).
  • Clonality
    Polyclonal
  • Formulation
    PBS with 0.02% sodium azide, 50% glycerol, pH7.3.
  • Storage instructions
    Store at -20℃. Avoid freeze / thaw cycles.
  • Applications
    WB 1:500 - 1:2000
    IHC 1:50 - 1:100
  • Validations

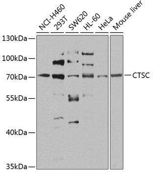
    Western blot - CTSC Polyclonal Antibody

    Western blot - CTSC Polyclonal Antibody

    Western blot analysis of extracts of various cell lines, using CTSC antibody at 1:1000 dilution.Secondary antibody: HRP Goat Anti-Rabbit IgG (H+L) at 1:10000 dilution.Lysates/proteins: 25ug per lane.Blocking buffer: 3% nonfat dry milk in TBST.Detection: ECL Basic Kit .Exposure time: 90s.

    Immunohistochemistry - CTSC Polyclonal Antibody

    Immunohistochemistry - CTSC Polyclonal Antibody

    Immunohistochemistry of paraffin-embedded human stomach using CTSC antibody at dilution of 1:100 (40x lens).

    Immunohistochemistry - CTSC Polyclonal Antibody

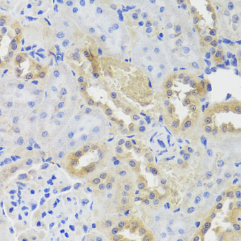
    Immunohistochemistry - CTSC Polyclonal Antibody

    Immunohistochemistry of paraffin-embedded rat kidney using CTSC antibody at dilution of 1:100 (40x lens).

  • Background
    Thiol protease. Has dipeptidylpeptidase activity. Active against a broad range of dipeptide substrates composed of both polar and hydrophobic amino acids. Proline cannot occupy the P1 position and arginine cannot occupy the P2 position of the substrate. Can act as both an exopeptidase and endopeptidase. Activates serine proteases such as elastase, cathepsin G and granzymes A and B. Can also activate neuraminidase and factor XIII.

Please note: All products are "FOR RESEARCH USE ONLY AND ARE NOT INTENDED FOR DIAGNOSTIC OR THERAPEUTIC USE"