CSNK1E Polyclonal Antibody

Cat.#: 163561

Special Price 327.1 USD

Availability: In Stock
- +

Add to cart to get an online quotation

Product Information

  • Product Name
    CSNK1E Polyclonal Antibody
  • Documents
  • Description
    Polyclonal antibody to CSNK1E
  • Tested applications
    WB, IHC, IF, IP
  • Species reactivity
    Human, Mouse, Rat
  • Alternative names
    CSNK1E antibody; CKIepsilon antibody; HCKIE antibody; casein kinase 1 epsilon antibody
  • Isotype
    Rabbit IgG
  • Preparation
    Antigen: Recombinant fusion protein containing a sequence corresponding to amino acids 247-416 of human CSNK1E (NP_689407.1).
  • Clonality
    Polyclonal
  • Formulation
    PBS with 0.02% sodium azide, 50% glycerol, pH7.3.
  • Storage instructions
    Store at -20℃. Avoid freeze / thaw cycles.
  • Applications
    WB 1:500 - 1:2000
    IHC 1:50 - 1:200
    IF 1:50 - 1:200
    IP 1:50 - 1:100
  • Validations

    Western blot - CSNK1E Polyclonal Antibody

    Western blot - CSNK1E Polyclonal Antibody

    Western blot analysis of extracts of various cell lines, using CSNK1E antibody at 1:1000 dilution.Secondary antibody: HRP Goat Anti-Rabbit IgG (H+L) at 1:10000 dilution.Lysates/proteins: 25ug per lane.Blocking buffer: 3% nonfat dry milk in TBST.Detection: ECL Basic Kit .Exposure time: 90s.

    Western blot - CSNK1E Polyclonal Antibody

    Western blot - CSNK1E Polyclonal Antibody

    Western blot analysis of extracts from normal (control) and CSNK1E knockout HeLa cells, using CSNK1E antibody at 1:1000 dilution.Secondary antibody: HRP Goat Anti-Rabbit IgG (H+L) at 1:10000 dilution.Lysates/proteins: 25ug per lane.Blocking buffer: 3% nonfat dry milk in TBST.Detection: ECL Basic Kit .Exposure time: 5s.

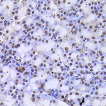
    Immunohistochemistry - CSNK1E Polyclonal Antibody

    Immunohistochemistry - CSNK1E Polyclonal Antibody

    Immunohistochemistry of paraffin-embedded rat pancreas using CSNK1E Antibody at dilution of 1:200 (40x lens).

    Immunohistochemistry - CSNK1E Polyclonal Antibody

    Immunohistochemistry - CSNK1E Polyclonal Antibody

    Immunohistochemistry of paraffin-embedded mouse brain using CSNK1E Antibody at dilution of 1:200 (40x lens).

    Immunofluorescence - CSNK1E Polyclonal Antibody

    Immunofluorescence - CSNK1E Polyclonal Antibody

    Immunofluorescence analysis of HeLa cells using CSNK1E antibody . Blue: DAPI for nuclear staining.

  • Background
    Casein kinases are operationally defined by their preferential utilization of acidic proteins such as caseins as substrates. Can phosphorylate a large number of proteins. Participates in Wnt signaling. Phosphorylates DVL1 and DVL2. Central component of the circadian clock. In balance with PP1, determines the circadian period length, through the regulation of the speed and rhythmicity of PER1 and PER2 phosphorylation. Controls PER1 and PER2 nuclear transport and degradation. Inhibits cytokine-induced granuloytic differentiation.

Please note: All products are "FOR RESEARCH USE ONLY AND ARE NOT INTENDED FOR DIAGNOSTIC OR THERAPEUTIC USE"