CRHR2 Polyclonal Antibody

Cat.#: 165477

Special Price 226.5 USD

Availability: In Stock
- +

Add to cart to get an online quotation

Product Information

  • Product Name
    CRHR2 Polyclonal Antibody
  • Documents
  • Description
    Polyclonal antibody to CRHR2
  • Tested applications
    WB, IHC
  • Species reactivity
    Human, Mouse, Rat
  • Alternative names
    CRHR2 antibody; CRF-RB antibody; CRF2 antibody; CRFR2 antibody; HM-CRF antibody; corticotropin-releasing factor receptor 2 antibody
  • Isotype
    Rabbit IgG
  • Preparation
    Antigen: A synthetic peptide of human CRHR2
  • Clonality
    Polyclonal
  • Formulation
    PBS with 0.02% sodium azide, 50% glycerol, pH7.3.
  • Storage instructions
    Store at -20℃. Avoid freeze / thaw cycles.
  • Applications
    WB 1:500 - 1:2000
    IHC 1:50 - 1:100
  • Validations

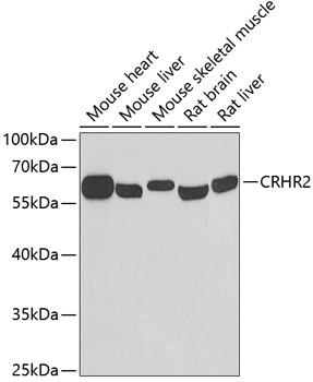
    Western blot - CRHR2 Polyclonal Antibody

    Western blot - CRHR2 Polyclonal Antibody

    Western blot analysis of extracts of various cell lines, using CRHR2 antibody at 1:500 dilution.Secondary antibody: HRP Goat Anti-Rabbit IgG (H+L) at 1:10000 dilution.Lysates/proteins: 25ug per lane.Blocking buffer: 3% nonfat dry milk in TBST.Detection: ECL Basic Kit .Exposure time: 90s.

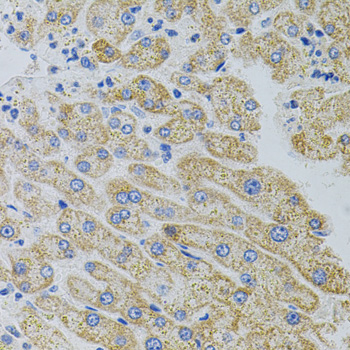
    Immunohistochemistry - CRHR2 Polyclonal Antibody

    Immunohistochemistry - CRHR2 Polyclonal Antibody

    Immunohistochemistry of paraffin-embedded human liver injury using CRHR2 antibody (40x lens).

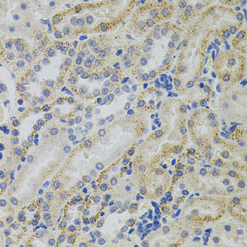
    Immunohistochemistry - CRHR2 Polyclonal Antibody

    Immunohistochemistry - CRHR2 Polyclonal Antibody

    Immunohistochemistry of paraffin-embedded rat kidney using CRHR2 antibody (40x lens).

  • Background
    G-protein coupled receptor for CRH (corticotropin-releasing factor), UCN (urocortin), UCN2 and UCN3. Has high affinity for UCN. Ligand binding causes a conformation change that triggers signaling via guanine nucleotide-binding proteins (G proteins) and down-stream effectors, such as adenylate cyclase. Promotes the activation of adenylate cyclase, leading to increased intracellular cAMP levels.

Please note: All products are "FOR RESEARCH USE ONLY AND ARE NOT INTENDED FOR DIAGNOSTIC OR THERAPEUTIC USE"