CRH/CRF antibody

Cat.#: 109556

Size:

Special Price 239.0 USD

Availability: In Stock
- +

Add to cart to get an online quotation

Product Information

  • Product Name
    CRH/CRF antibody
  • Documents
  • Description
    CRH/CRF Rabbit Polyclonal antibody. Positive IHC detected in human pancreas tissue, human pancreas cancer tissue. Positive WB detected in human brain tissue, rat brain tissue. Observed molecular weight by Western-blot: 35 kDa
  • Tested applications
    ELISA, WB, IHC
  • Species reactivity
    Human,Mouse,Rat; other species not tested.
  • Alternative names
    Corticoliberin antibody; Corticotropin releasing factor antibody; CRF antibody; CRH antibody
  • Isotype
    Rabbit IgG
  • Preparation
    This antibody was obtained by immunization of CRH/CRF recombinant protein (Accession Number: XM_017013091). Purification method: Antigen affinity purified.
  • Clonality
    Polyclonal
  • Formulation
    PBS with 0.1% sodium azide and 50% glycerol pH 7.3.
  • Storage instructions
    Store at -20℃. DO NOT ALIQUOT
  • Applications

    Recommended Dilution:

    WB: 1:200-1:2000

    IHC: 1:50-1:500

  • Validations

    human brain tissue were subjected to SDS PAGE followed by western blot with Catalog No:109556(CRH antibody) at dilution of 1:400

    human brain tissue were subjected to SDS PAGE followed by western blot with Catalog No:109556(CRH antibody) at dilution of 1:400

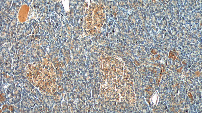
    Immunohistochemistry of paraffin-embedded human pancreas tissue slide using Catalog No:109556(CRH Antibody) at dilution of 1:200 (under 10x lens).

    Immunohistochemistry of paraffin-embedded human pancreas tissue slide using Catalog No:109556(CRH Antibody) at dilution of 1:200 (under 10x lens).

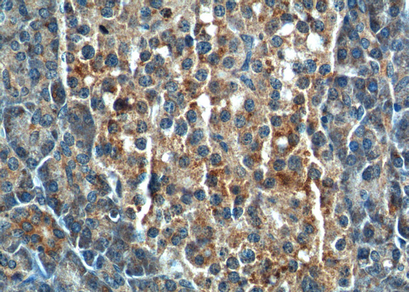
    Immunohistochemistry of paraffin-embedded human pancreas tissue slide using Catalog No:109556(CRH Antibody) at dilution of 1:200 (under 40x lens).

    Immunohistochemistry of paraffin-embedded human pancreas tissue slide using Catalog No:109556(CRH Antibody) at dilution of 1:200 (under 40x lens).

  • Background
    Corticotropin-releasing hormone (CRH), also called CRF or corticoliberin, is a peptide hormone and neurotransmitter involved in the stress response. It belongs to corticotropin-releasing factor family. Marked reduction in this protein has been observed in association with Alzheimer disease and autosomal recessive hypothalamic corticotropin deficiency has multiple and potentially fatal metabolic consequences including hypoglycemia and hepatitis. In addition to production in the hypothalamus, this protein is also synthesized in peripheral tissues, such as T lymphocytes and is highly expressed in the placenta. In the placenta it is a marker that determines the length of gestation and the timing of parturition and delivery.
  • References
    • Chen F, Chen S, Liu S, Zhang C, Peng G. Effects of lorazepam and WAY-200070 in larval zebrafish light/dark choice test. Neuropharmacology. 95:226-33. 2015.

Please note: All products are "FOR RESEARCH USE ONLY AND ARE NOT INTENDED FOR DIAGNOSTIC OR THERAPEUTIC USE"