CREBBP Polyclonal Antibody

Cat.#: 161981

Special Price 226.5 USD

Availability: In Stock
- +

Add to cart to get an online quotation

Product Information

  • Product Name
    CREBBP Polyclonal Antibody
  • Documents
  • Description
    Polyclonal antibody to CREBBP
  • Tested applications
    WB, IHC
  • Species reactivity
    Mouse, Rat
  • Alternative names
    CREBBP antibody; CBP antibody; KAT3A antibody; RSTS antibody; RSTS1 antibody; CREB-binding protein antibody
  • Isotype
    Rabbit IgG
  • Preparation
    Antigen: Recombinant protein of mouse CREBBP
  • Clonality
    Polyclonal
  • Formulation
    PBS with 0.02% sodium azide, 50% glycerol, pH7.3.
  • Storage instructions
    Store at -20℃. Avoid freeze / thaw cycles.
  • Applications
    WB 1:500 - 1:2000
    IHC 1:50 - 1:200
  • Validations

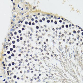
    Immunohistochemistry - CREBBP Polyclonal Antibody

    Immunohistochemistry - CREBBP Polyclonal Antibody

    Immunohistochemistry of paraffin-embedded rat testis using CREBBP antibody at dilution of 1:100 (40x lens).

Please note: All products are "FOR RESEARCH USE ONLY AND ARE NOT INTENDED FOR DIAGNOSTIC OR THERAPEUTIC USE"