COX6A1 Polyclonal Antibody

Cat.#: 164205

Special Price 226.5 USD

Availability: In Stock
- +

Add to cart to get an online quotation

Product Information

  • Product Name
    COX6A1 Polyclonal Antibody
  • Documents
  • Description
    Polyclonal antibody to COX6A1
  • Tested applications
    WB, IHC, IF
  • Species reactivity
    Human, Mouse, Rat
  • Alternative names
    COX6A1 antibody; CMTRID antibody; COX6A antibody; COX6AL antibody; cytochrome c oxidase subunit 6A1 antibody
  • Isotype
    Rabbit IgG
  • Preparation
    Antigen: Recombinant fusion protein containing a sequence corresponding to amino acids 25-109 of human COX6A1 (NP_004364.2).
  • Clonality
    Polyclonal
  • Formulation
    PBS with 0.02% sodium azide, 50% glycerol, pH7.3.
  • Storage instructions
    Store at -20℃. Avoid freeze / thaw cycles.
  • Applications
    WB 1:200 - 1:2000
    IHC 1:20 - 1:200
    IF 1:50 - 1:200
  • Validations

    Western blot - COX6A1 Polyclonal Antibody

    Western blot - COX6A1 Polyclonal Antibody

    Western blot analysis of extracts of various cell lines, using COX6A1 antibody at 1:1000 dilution.Secondary antibody: HRP Goat Anti-Rabbit IgG (H+L) at 1:10000 dilution.Lysates/proteins: 25ug per lane.Blocking buffer: 3% nonfat dry milk in TBST.Detection: ECL Basic Kit .Exposure time: 60s.

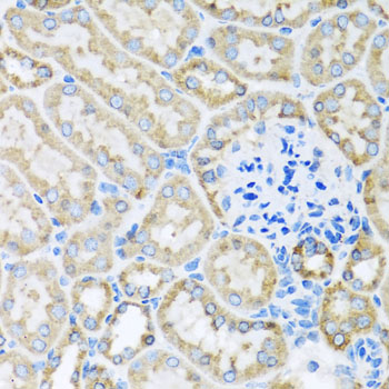
    Immunohistochemistry - COX6A1 Polyclonal Antibody

    Immunohistochemistry - COX6A1 Polyclonal Antibody

    Immunohistochemistry of paraffin-embedded mouse kidney using COX6A1 antibody at dilution of 1:100 (40x lens).

    Immunohistochemistry - COX6A1 Polyclonal Antibody

    Immunohistochemistry - COX6A1 Polyclonal Antibody

    Immunohistochemistry of paraffin-embedded rat cerebellum using COX6A1 antibody at dilution of 1:100 (40x lens).

    Immunohistochemistry - COX6A1 Polyclonal Antibody

    Immunohistochemistry - COX6A1 Polyclonal Antibody

    Immunohistochemistry of paraffin-embedded human liver cancer using COX6A1 antibody at dilution of 1:100 (40x lens).

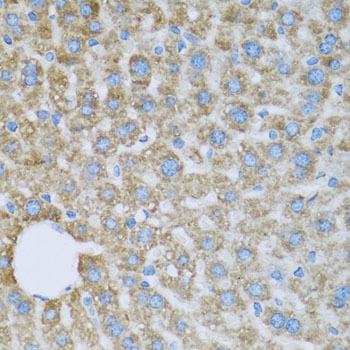
    Immunohistochemistry - COX6A1 Polyclonal Antibody

    Immunohistochemistry - COX6A1 Polyclonal Antibody

    Immunohistochemistry of paraffin-embedded mouse liver using COX6A1 antibody at dilution of 1:100 (40x lens).

  • Background
    This protein is one of the nuclear-coded polypeptide chains of cytochrome c oxidase, the terminal oxidase in mitochondrial electron transport.

Please note: All products are "FOR RESEARCH USE ONLY AND ARE NOT INTENDED FOR DIAGNOSTIC OR THERAPEUTIC USE"