COPS5 Polyclonal Antibody

Cat.#: 163529

Special Price 226.5 USD

Availability: In Stock
- +

Add to cart to get an online quotation

Product Information

  • Product Name
    COPS5 Polyclonal Antibody
  • Documents
  • Description
    Polyclonal antibody to COPS5
  • Tested applications
    WB, IHC
  • Species reactivity
    Human, Mouse, Rat
  • Alternative names
    COPS5 antibody; CSN5 antibody; JAB1 antibody; MOV-34 antibody; SGN5 antibody; COP9 signalosome subunit 5 antibody
  • Isotype
    Rabbit IgG
  • Preparation
    Antigen: Recombinant fusion protein containing a sequence corresponding to amino acids 1-334 of human COPS5 (NP_006828.2).
  • Clonality
    Polyclonal
  • Formulation
    PBS with 0.02% sodium azide, 50% glycerol, pH7.3.
  • Storage instructions
    Store at -20℃. Avoid freeze / thaw cycles.
  • Applications
    WB 1:500 - 1:2000
    IHC 1:50 - 1:200
  • Validations

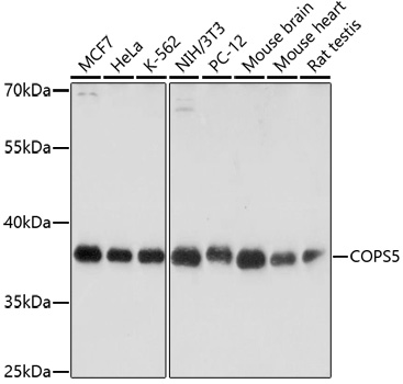
    Western blot - COPS5 Polyclonal Antibody

    Western blot - COPS5 Polyclonal Antibody

    Western blot analysis of extracts of various cell lines, using COPS5 antibody at 1:1000 dilution.Secondary antibody: HRP Goat Anti-Rabbit IgG (H+L) at 1:10000 dilution.Lysates/proteins: 25ug per lane.Blocking buffer: 3% nonfat dry milk in TBST.

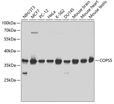
    Western blot - COPS5 Polyclonal Antibody

    Western blot - COPS5 Polyclonal Antibody

    Western blot analysis of extracts of various cells, using COPS5 antibody at 1:1000 dilution ratio through one-step method.Secondary antibody: HRP Goat Anti-Rabbit IgG (H+L) at 1:10000 dilution.Lysates/proteins: 25ug per lane.Blocking buffer: 3% nonfat dry milk in TBST.Detection: ECL Basic Kit .Exposure time: 10s.

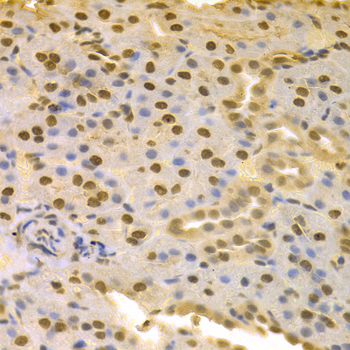
    Immunohistochemistry - COPS5 Polyclonal Antibody

    Immunohistochemistry - COPS5 Polyclonal Antibody

    Immunohistochemistry of paraffin-embedded rat kidney using COPS5 antibody at dilution of 1:100 (40x lens).

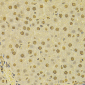
    Immunohistochemistry - COPS5 Polyclonal Antibody

    Immunohistochemistry - COPS5 Polyclonal Antibody

    Immunohistochemistry of paraffin-embedded human liver using COPS5 antibody at dilution of 1:100 (40x lens).

  • Background
    Probable protease subunit of the COP9 signalosome complex (CSN), a complex involved in various cellular and developmental processes. The CSN complex is an essential regulator of the ubiquitin (Ubl) conjugation pathway by mediating the deneddylation of the cullin subunits of the SCF-type E3 ligase complexes, leading to decrease the Ubl ligase activity of SCF-type complexes such as SCF, CSA or DDB2. The complex is also involved in phosphorylation of p53/TP53, c-jun/JUN, IkappaBalpha/NFKBIA, ITPK1 and IRF8, possibly via its association with CK2 and PKD kinases. CSN-dependent phosphorylation of TP53 and JUN promotes and protects degradation by the Ubl system, respectively. In the complex, it probably acts as the catalytic center that mediates the cleavage of Nedd8 from cullins. It however has no metalloprotease activity by itself and requires the other subunits of the CSN complex. Interacts directly with a large number of proteins that are regulated by the CSN complex, confirming a key role in the complex. Promotes the proteasomal degradation of BRSK2.

Please note: All products are "FOR RESEARCH USE ONLY AND ARE NOT INTENDED FOR DIAGNOSTIC OR THERAPEUTIC USE"