COPS3 Polyclonal Antibody

Cat.#: 165144

Special Price 226.5 USD

Availability: In Stock
- +

Add to cart to get an online quotation

Product Information

  • Product Name
    COPS3 Polyclonal Antibody
  • Documents
  • Description
    Polyclonal antibody to COPS3
  • Tested applications
    WB, IF
  • Species reactivity
    Human, Mouse, Rat
  • Alternative names
    COPS3 antibody; CSN3 antibody; SGN3 antibody; COP9 signalosome subunit 3 antibody
  • Isotype
    Rabbit IgG
  • Preparation
    Antigen: Recombinant fusion protein containing a sequence corresponding to amino acids 194-423 of human COPS3 (NP_003644.2).
  • Clonality
    Polyclonal
  • Formulation
    PBS with 0.02% sodium azide, 50% glycerol, pH7.3.
  • Storage instructions
    Store at -20℃. Avoid freeze / thaw cycles.
  • Applications
    WB 1:500 - 1:2000
    IF 1:50 - 1:100
  • Validations

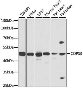
    Western blot - COPS3 Polyclonal Antibody

    Western blot - COPS3 Polyclonal Antibody

    Western blot analysis of extracts of various cell lines, using COPS3 antibody at 1:1000 dilution.Secondary antibody: HRP Goat Anti-Rabbit IgG (H+L) at 1:10000 dilution.Lysates/proteins: 25ug per lane.Blocking buffer: 3% nonfat dry milk in TBST.Detection: ECL Basic Kit .Exposure time: 1s.

    Immunofluorescence - COPS3 Polyclonal Antibody

    Immunofluorescence - COPS3 Polyclonal Antibody

    Immunofluorescence analysis of MCF7 cells using COPS3 antibody . Blue: DAPI for nuclear staining.

  • Background
    Component of the COP9 signalosome complex (CSN), a complex involved in various cellular and developmental processes. The CSN complex is an essential regulator of the ubiquitin (Ubl) conjugation pathway by mediating the deneddylation of the cullin subunits of SCF-type E3 ligase complexes, leading to decrease the Ubl ligase activity of SCF-type complexes such as SCF, CSA or DDB2. The complex is also involved in phosphorylation of p53/TP53, c-jun/JUN, IkappaBalpha/NFKBIA, ITPK1 and IRF8/ICSBP, possibly via its association with CK2 and PKD kinases. CSN-dependent phosphorylation of TP53 and JUN promotes and protects degradation by the Ubl system, respectively.

Please note: All products are "FOR RESEARCH USE ONLY AND ARE NOT INTENDED FOR DIAGNOSTIC OR THERAPEUTIC USE"