COMT Polyclonal Antibody

Cat.#: 161359

Special Price 226.5 USD

Availability: In Stock
- +

Add to cart to get an online quotation

Product Information

  • Product Name
    COMT Polyclonal Antibody
  • Documents
  • Description
    Polyclonal antibody to COMT
  • Tested applications
    WB, IP
  • Species reactivity
    Human, Mouse
  • Alternative names
    COMT antibody; HEL-S-98n antibody; catechol O-methyltransferase antibody
  • Isotype
    Rabbit IgG
  • Preparation
    Antigen: Recombinant fusion protein containing a sequence corresponding to amino acids 42-221 of human COMT (NP_009294.1).
  • Clonality
    Polyclonal
  • Formulation
    PBS with 0.02% sodium azide, 50% glycerol, pH7.3.
  • Storage instructions
    Store at -20℃. Avoid freeze / thaw cycles.
  • Applications
    WB 1:500 - 1:2000
    IP 1:50 - 1:100
  • Validations

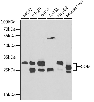
    Western blot - COMT Polyclonal Antibody

    Western blot - COMT Polyclonal Antibody

    Western blot analysis of extracts of various cell lines, using COMT antibody at 1:1000 dilution.Secondary antibody: HRP Goat Anti-Rabbit IgG (H+L) at 1:10000 dilution.Lysates/proteins: 25ug per lane.Blocking buffer: 3% nonfat dry milk in TBST.Detection: ECL Basic Kit .Exposure time: 60s.

    Immunoprecipitation - COMT Polyclonal Antibody

    Immunoprecipitation - COMT Polyclonal Antibody

    Immunoprecipitation analysis of 200ug extracts of MCF-7 cells, using 3 ug COMT antibody . Western blot was performed from the immunoprecipitate using COMT antibody at a dilition of 1:1000.

  • Background
    Catalyzes the O-methylation, and thereby the inactivation, of catecholamine neurotransmitters and catechol hormones. Also shortens the biological half-lives of certain neuroactive drugs, like L-DOPA, alpha-methyl DOPA and isoproterenol.

Please note: All products are "FOR RESEARCH USE ONLY AND ARE NOT INTENDED FOR DIAGNOSTIC OR THERAPEUTIC USE"