-
Product Name
Collagen Type IV antibody
- Documents
-
Description
Collagen Type IV Rabbit Polyclonal antibody. Positive IHC detected in human heart tissue, human kidney tissue, rat brain tissue.
-
Tested applications
ELISA, IHC
-
Species reactivity
Human, Rat; other species not tested.
-
Alternative names
arresten antibody; COL4A1 antibody; Collagen alpha 1(IV) chain antibody; Collagen Type IV antibody; collagen antibody; type IV antibody; alpha 1 antibody
-
Isotype
Rabbit IgG
-
Preparation
This antibody was obtained by immunization of Collagen Type IV recombinant protein (Accession Number: NM_001845). Purification method: Antigen affinity purified.
-
Clonality
Polyclonal
-
Formulation
PBS with 0.1% sodium azide and 50% glycerol pH 7.3.
-
Storage instructions
Store at -20℃. DO NOT ALIQUOT
-
Applications
Recommended Dilution:
IHC: 1:20-1:200
-
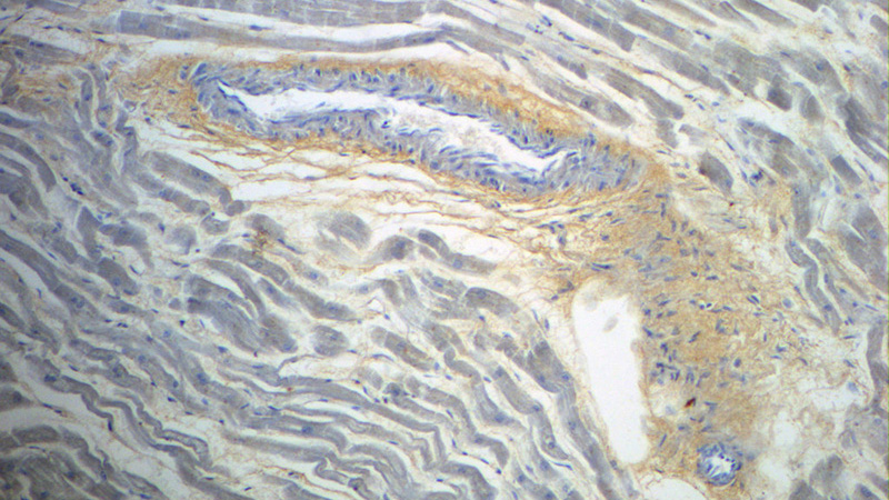
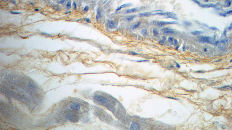
Validations
Immunohistochemistry of paraffin-embedded human heart slide using Catalog No:109379(COL4A1 Antibody) at dilution of 1:50 (under 10x lens)
Immunohistochemistry of paraffin-embedded human heart slide using Catalog No:109379(COL4A1 Antibody) at dilution of 1:50 (under 40x lens)
-
Background
COL4A1 represents collagen, type IV, alpha 1
Related Products / Services
Please note: All products are "FOR RESEARCH USE ONLY AND ARE NOT INTENDED FOR DIAGNOSTIC OR THERAPEUTIC USE"