CLUH Polyclonal Antibody

Cat.#: 160316

Special Price 226.5 USD

Availability: In Stock
- +

Add to cart to get an online quotation

Product Information

  • Product Name
    CLUH Polyclonal Antibody
  • Documents
  • Description
    Polyclonal antibody to CLUH
  • Tested applications
    WB, IHC, IF
  • Species reactivity
    Human, Mouse
  • Alternative names
    CLUH antibody; CLU1 antibody; KIAA0664 antibody; clustered mitochondria homolog antibody
  • Isotype
    Rabbit IgG
  • Preparation
    Antigen: Recombinant fusion protein containing a sequence corresponding to amino acids 1120-1309 of human CLUH (NP_056044.3).
  • Clonality
    Polyclonal
  • Formulation
    PBS with 0.02% sodium azide, 50% glycerol, pH7.3.
  • Storage instructions
    Store at -20℃. Avoid freeze / thaw cycles.
  • Applications
    WB 1:1000 - 1:4000
    IHC 1:50 - 1:200
    IF 1:50 - 1:200
  • Validations

    Western blot - CLUH Polyclonal Antibody

    Western blot - CLUH Polyclonal Antibody

    Western blot analysis of extracts of various cell lines, using CLUH antibody at 1:1000 dilution.Secondary antibody: HRP Goat Anti-Rabbit IgG (H+L) at 1:10000 dilution.Lysates/proteins: 25ug per lane.Blocking buffer: 3% nonfat dry milk in TBST.Detection: ECL Basic Kit .Exposure time: 15s.

    Immunohistochemistry - CLUH Polyclonal Antibody

    Immunohistochemistry - CLUH Polyclonal Antibody

    Immunohistochemistry of paraffin-embedded human placenta using CLUH antibody at dilution of 1:100 (40x lens).

    Immunohistochemistry - CLUH Polyclonal Antibody

    Immunohistochemistry - CLUH Polyclonal Antibody

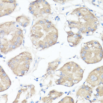
    Immunohistochemistry of paraffin-embedded human stomach using CLUH antibody at dilution of 1:100 (40x lens).

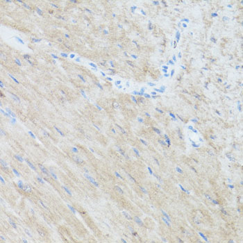
    Immunohistochemistry - CLUH Polyclonal Antibody

    Immunohistochemistry - CLUH Polyclonal Antibody

    Immunohistochemistry of paraffin-embedded mouse heart using CLUH antibody at dilution of 1:100 (40x lens).

  • Background
    mRNA-binding protein involved in proper cytoplasmic distribution of mitochondria. Specifically binds mRNAs of nuclear-encoded mitochondrial proteins in the cytoplasm and regulates transport or translation of these transcripts close to mitochondria, playing a role in mitochondrial biogenesis.

Please note: All products are "FOR RESEARCH USE ONLY AND ARE NOT INTENDED FOR DIAGNOSTIC OR THERAPEUTIC USE"